Tienes un nevus, o como te gusta llamarlo, lunar. Un buen día te das cuenta que algo está cambiando, no está igual que siempre.
Es una lesión pigmentada benigna también conocida como nevus de Sutton. Se caracteriza por tener un halo blanquecino simétrico en la periferia que se produce debido a una reacción inflamatoria.

Halo nevus en sus inicios y etapa final con casi desaparición completa.
¿Qué es un Halo Nevus?
El halo nevus (nevus de Sutton) es una neoplasia benigna que se eleva sobre la piel, rodeada por un borde de piel hipopigmentada. La mayoría de las veces, los halo nevos se observan en personas de 15 a 25 años: primero aparece una parte central pigmentada, alrededor de la cual se expande gradualmente un anillo incoloro.
El halo nevus se caracteriza por el típico halo despigmentado alrededor de la lesión pigmentaria (Fig. 2). El nevus puede desaparecer por completo en el curso de la enfermedad.
Puede evolucionar de maneras distintas, aumentando el área blanquecina o incluso llegando a desparecer el área pigmentada.
La localización preferente es en tronco, cerca del 75%, y más frecuente la parte alta y media de espalda.
Los nevos en halo, también conocidos como "nevos de Sutton", son lunares rodeados por un anillo despigmentado. Estos lunares pueden afectar la apariencia de una persona, lo que puede causar preocupación o timidez. Sin embargo, generalmente son inofensivos y no suelen causar problemas de salud.
Si bien se desconoce la causa exacta, ciertos factores pueden aumentar el riesgo de desarrollar nevos en halo. Estos factores de riesgo pueden variar de persona a persona y pueden implicar una combinación de predisposición genética e influencias ambientales.
Causas del Halo Nevus
No existe una razón clara para la aparición del halo nevus. La causa exacta de estas lesiones cutáneas únicas no se comprende por completo, pero varios factores pueden contribuir a su desarrollo. Si bien las razones precisas varían, las posibles causas incluyen una respuesta inmunitaria, predisposición genética y desencadenantes ambientales.
Se originaría como una reacción inmunológica hacia antígenos comunes entre células névicas y melanocitos.
Se sospecha que los linfocitos T desempeñan un papel clave en la destrucción progresiva de las células del névus.

Características Clínicas del Halo Nevus
Los nevos en halo son lunares en la piel con una apariencia distintiva. Por lo general, presentan ciertas características comunes en cuanto a sus síntomas. Los nevos de Sutton, también conocidos como nevos de halo, son lunares rodeados por un anillo más claro.
Clínicamente el halo nevus consiste en un halo hipopigmentado alrededor de un nevus en regresión que puede presentar cambios como eritema o hiperqueratosis.
El examen visual del halo nevus revela una formación semiesférica, generalmente simétrica (oval o redonda), que se eleva por encima de la piel y alrededor de la cual se observa un borde de piel despigmentada.
La superficie de la parte central (pigmentada) del nevus es ligeramente diferente de la textura de la piel o finamente tuberosa. Los bordes del halo nevus son claros y uniformes.
El color de la parte central varía de carne, bronceado a marrón oscuro, mientras que la distribución del pigmento en toda la formación es uniforme. A veces hay una disminución gradual de la intensidad del color en la dirección del centro a la periferia, o varios tonos del mismo color dentro de la formación.
El color del borde circundante es uniforme, a menudo completamente ausente, con menos frecuencia marrón claro o rosa pálido o con ligera hiperemia, sin embargo, el tono es inestable y puede cambiar con el tiempo. La presencia de halo nevus no afecta al crecimiento del vello.
El diámetro de la parte central pigmentada del nevus no suele superar los 10 mm. El diámetro total del halo nevus, teniendo en cuenta el borde despigmentado, puede alcanzar los 3-4 cm. Con el tiempo, el diámetro del foco de despigmentación puede variar tanto en sentido de aumento como de disminución.
A la palpación del halo nevus, no se observan características: la consistencia de la piel ordinaria o ligeramente más blanda (parte central).
La red pigmentaria es un patrón de agujeros hipopigmentados y líneas homogéneas de marrón claro a marrón oscuro.
Los halo nevus tienen un proceso de involución que varía de meses a años y consta de 4 estadios: inicialmente hay aparición del halo hipopigmentado y el nevus persiste con la pigmentación café (estadio I), luego el color del nevus puede desvanecerse tomando un tono rosado (estadio II), posteriormente la lesión central desaparece dejando una zona hipopigmentada (estadio III), finalmente esta zona se puede repigmentar, recuperando el aspecto normal de la piel (estadio IV).
No todos los halo nevus cursan por los 4 estadios. Se ha descrito que hasta la mitad de los casos pueden no presentar cambios en el tiempo.
Diagnóstico del Halo Nevus
Los halo nevus se diagnostican generalmente mediante una combinación de examen visual y revisión de la historia clínica. Los médicos pueden buscar características específicas, como un lunar rodeado de un anillo de piel más claro. En algunos casos, se pueden realizar pruebas adicionales o biopsias para confirmar el diagnóstico.
En la consulta dermatológica inicial, un examen de todo el cuerpo es la base del diagnóstico, ya que arroja un diagnóstico secundario relevante en el 15-21,4% de los pacientes.
Con las opciones de diagnóstico, ya sean clínicas o de microscopía de luz reflejada, el dilema es no pasar por alto las lesiones malignas y no extirpar innecesariamente las inofensivas.
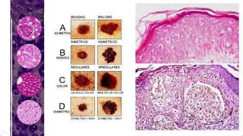
La ayuda más importante en la toma de decisiones clínicas para la detección del melanoma es la regla ABCD que figura en la tabla 1.
La dermatoscopia o epiluminiscencia es una técnica de visualización de lesiones pigmentadas a gran aumento que permite valorar de forma más esmerada y detallada las características morfológicas de las lesiones pigmentadas.
Dermatoscopia: Los patrones globulares y homogéneos son los más habituales. Este trabajo hace una descripción detallada de los distintos patrones.
El fenómeno de halo en la dermatoscopia se suele observar como una zona blanca homogénea y simétrica que puede presentar telangiectasias o coloración rosada.
En estos casos el comportamiento de los nevus suele ser benigno y se puede vigilar clínicamente sin necesidad de realizar más estudios. Sin embargo, en algunas ocasiones se hace importante realizar una biopsia de la lesión pigmentada para descartar malignidad.
Tabla: Criterios ABCD para la detección del melanoma
| Criterio | Descripción |
|---|---|
| A (Asimetría) | Una mitad del lunar no coincide con la otra. |
| B (Bordes) | Los bordes son irregulares, dentados o poco definidos. |
| C (Color) | El color no es uniforme y puede incluir diferentes tonos de marrón, negro o incluso rojo, blanco o azul. |
| D (Diámetro) | El lunar tiene un diámetro mayor de 6 mm. |
Halo Nevus y su Relación con el Melanoma
Los halo nevus no son preocupantes, especialmente si aparecen en niños o adolescentes. No obstante, es recomendable consultar con un dermatólogo ante su aparición, especialmente en adultos que no hayan tenido antes lunares similares. En estos casos es importante la consulta con el fin de descartar que se trate de un melanoma, que en raras ocasiones se presenta de esta manera.
La relación entre el fenómeno de halo nevus y el melanoma ha generado opiniones controversiales. Se ha sugerido, con limitada evidencia, que la presencia de un halo nevus en los adultos puede predecir la aparición de melanoma, bien sea a nivel del halo nevus o en sitios a distancia tanto cutáneos como extracutáneos.
En algunas ocasiones se hace importante realizar una biopsia de la lesión pigmentada para descartar malignidad. Entre los hallazgos que deben hacer sospechar un melanoma, además de ser pacientes de mayor edad, está la asimetría del anillo perilesional, un patrón multicomponente en la dermatoscopia de la lesión o la presencia de una red atípica o de puntos y glóbulos asimétricos.
Esta fibrosis si apareciese nos pone ante la posibilidad de que se tratase de un melanoma involutivo, algo que debe quedar claramente descartado.
Si aparece uno o varios halo nevus en un adulto que nunca ha tenido lunares similares antes, es recomendable consultar con un dermatólogo.
El nevus Halo es seguro y no conlleva un mayor riesgo de melanoma. Si no hay ningún efecto externo sobre un nevus de este tipo (traumatismo, radiación ultravioleta, radiación ionizante), el riesgo de malignidad es comparable al riesgo de un tumor maligno en la piel sin cambios. En ausencia de efectos perjudiciales sobre el nevus halo, cambios de aspecto y sensaciones subjetivas, basta con un autocontrol (o inspección con ayuda de otras personas en zonas inaccesibles) al menos una vez al año.

Tratamiento del Halo Nevus
Los nevos de Sutton, también conocidos como halo nevus, son lunares que se caracterizan por un anillo despigmentado que rodea un centro pigmentado. Si bien suelen ser inofensivos, existen opciones de tratamiento por razones estéticas o si hay algún cambio preocupante. El tratamiento puede incluir observación, extirpación quirúrgica, terapia láser o crioterapia.
A día de hoy no disponemos de tratamientos para los halo nevus. Lo normal es dejarlos evolucionar y que sigan su curso hasta desaparecer, ya que no entrañan ningún riesgo para la salud.
El tratamiento debe ser individualizado y dependiente de la clínica. En general, cualquier paciente que presente un halo nevus y especialmente aquellos con múltiples lesiones, debería ser sometido a una meticulosa exploración de toda la superficie cutánea y mucosas en busca de lesiones melanocíticas con signos morfológicos de atipia. Si la lesión melanocítica del centro del halo cumple criterios de atipia deberá ser extirpada y enviada a estudio histopatológico.
Otros tipos de Nevus
Además de los nevus adquiridos comunes o vulgares comentados anteriormente, existen nevus con identidad propia (Fig. 2), con características especiales que los hacen diferentes al resto y constituyen una verdadera entidad independiente.
- Nevus de Spitz-Reed: Podría considerarse un tipo de nevus compuesto que aparece con mayor frecuencia en los niños y adultos jóvenes, sobre todo en las dos primeras décadas de la vida.
- Nevus de Meyerson: Consiste en un fenómeno benigno por el cual una reacción inflamatoria eccematosa se desarrolla sobre y alrededor de un nevus melanocítico.
- Nevus en diana o escarapela: Es un tipo morfológico de nevus típico de pacientes jóvenes, caracterizado por la existencia dentro de la lesión de tres zonas bien delimitadas: una zona central pigmentada, otra zona que la rodea, más clara, y otra externa nuevamente hiperpigmentada.
- Nevus lentiginoso o moteado de Spilus: Se trata de la asociación de un acúmulo de nevus junturales lentiginosos o compuestos agrupados sobre una mancha café con leche.
- Nevus acrómico o despigmentado: Es un área bien circunscrita de hipopigmentación que puede ocurrir como un parche pequeño aislado de diferentes morfologías (forma más común) o ser lesiones múltiples que siguen una distribución unilateral segmentaria en cuadrantes o por las líneas de Blaschko, sin cruzar nunca de forma característica la línea media.
Es importante destacar que nunca van precedidas de un componente inflamatorio o lesión cutánea previa, pues de lo contrario estaríamos ante una lesión hipopigmentada residual y no ante un nevus acrómico.
Figura 2.
¿Qué nevus melanocíticos deben ser extirpados?
La mayoría de pecas son totalmente benignas y no tienen ningún riesgo de malignitzación.
Se evidencian cambios clínicos de sospecha (regla ABCDE): crecimiento rápido, coloración y bordes irregulares, sangrado, etc.
Un nevus melanocítico que experimenta irritación o que a menudo se irrita (afeitado, ropas, etc.).
Nevus melanocíticos muy pigmentados en zonas de difícil control clínico (región genital, perianal, cuero piloso, etc.).
Motivos cosméticos (relativo).
Consejos para el cuidado de la piel y prevención
1. Autoexploración mensual. Valorar cualquier cambio en una peca o aparición de nuevas lesiones.
3. Controles digitalizados (imágenes clínicas y dermatoscópicas). Sistema de mapeo de nevus melanocíticos.
A los pacientes con múltiples lunares se les recomienda un examen por un dermatólogo u oncólogo en primavera y otoño (antes y después de la temporada de playa).