La psoriasis y el liquen plano son dos enfermedades inflamatorias de la piel que pueden presentar síntomas similares, pero tienen causas y tratamientos distintos. Este artículo detalla las diferencias clave entre estas dos condiciones.

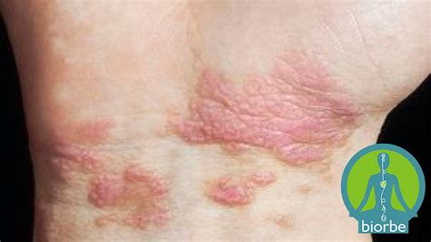
Liquen Plano en la muñeca
Liquen Plano (LP)
El liquen plano (LP) es una enfermedad inflamatoria que afecta la piel y las mucosas. Se caracteriza por:
- Lesiones cutáneas: Pápulas pequeñas, truncadas, de color rojo-violáceo, que se agrupan en placas, especialmente en áreas de roce como muñecas y tobillos.
- Prurito: Las lesiones son típicamente pruriginosas.
- Estrías de Wickham: Finas estrías blanquecinas visibles con dermatoscopio.
- Pigmentación residual: Al curar, el LP deja una pigmentación marronácea que puede tardar en desaparecer.
- Afectación de mucosas: Placas pequeñas con reticulado blanquecino, especialmente en la lengua, con posibles molestias.
- Afectación del cuero cabelludo: Puede manifestarse como eritema extenso con pérdida de cabello o placas eritematosas que llevan a alopecia cicatricial.
Además, se reconocen formas clínicas especiales como el LP anular, LP lineal, placas hipertróficas neurodérmicas y LP agudo. En estos casos, se debe descartar asociación con hepatitis C.
El tratamiento del LP incluye corticoides tópicos, corticoides vía oral en casos agudos, y antihistamínicos.
Erupciones Liquenoides
Dentro de este grupo, se incluyen:
- Liquen Nítidus: Erupción de pequeñas pápulas hemisféricas, lisas y brillantes, diseminadas y no pruriginosas, que afecta a niños y adultos jóvenes.
- Erupciones Liquenoides por Fármacos: Causadas por varios fármacos, con erupción que se consolida con el tiempo.
- Erupción Liquenoide por Reacción Injerto contra Huésped.
Psoriasis
La psoriasis es una enfermedad inflamatoria crónica de la piel que puede afectar a las uñas en un 50%-70% de los pacientes. Las principales características son:
- Piqueteado o uñas en dedal: Pequeñas depresiones irregulares y profundas en la superficie de la uña.
- Manchas de aceite: Pigmentación amarillenta o rosácea en el lecho ungueal.
- Onicólisis: Separación de la parte distal de la uña del lecho ungueal.
#ProgramaEspecial | Diagnóstico diferencial de la psoriasis
Aunque las alteraciones de las uñas en la psoriasis ungueal suelen acompañarse de lesiones cutáneas y síntomas articulares, pueden aparecer de forma aislada en el 5 %-10 % de los pacientes, lo cual dificulta el diagnóstico.

Uñas con Psoriasis
El tratamiento farmacológico de primera línea en pacientes con ≤3 uñas afectadas, con psoriasis leve, sin artritis psoriásica y sin afectación de la calidad de vida consiste en corticoesteroides tópicos junto con análogos de la vitamina D o inyecciones intralesionales de corticoesteroides. El tratamiento sistémico suele reservarse a los pacientes con >3 uñas afectadas, con psoriasis de moderada a grave, con artritis psoriásica o cuando existe un gran impacto en la calidad de vida.
Diagnóstico Diferencial de Dermatosis Inflamatorias en Pliegues
El diagnóstico de dermatosis inflamatorias en los pliegues incluye procesos cutáneos localizados en los pliegues de la piel, con un mecanismo patogénico inflamatorio. Dentro de este grupo, es crucial diferenciar entre:
- Dermatitis atópica
- Dermatitis de contacto
- Psoriasis inversa (de pliegues)
- Pustulosis exantemática generalizada aguda
- Pitiriasis rubra pilaris
- Liquen plano
Psoriasis Inversa (de pliegues)
La psoriasis de los pliegues se caracteriza por grandes placas eritematosas, brillantes, bien delimitadas, sin apenas descamación, localizadas en los principales pliegues de la piel. Se calcula que las lesiones de psoriasis pueden localizarse en los pliegues en el 21-30% de los pacientes psoriásicos estadounidenses.
En el caso de que el paciente con psoriasis inversa no presente lesiones eritemato-escamosas en otras localizaciones, debe hacerse un diagnóstico diferencial con la dermatitis alérgica de contacto de patrón textil mediante la realización de pruebas epicutáneas de contacto.
Aunque existen pocos ensayos clínicos que demuestren cuál es el tratamiento idóneo en estos pacientes, se considera que los tratamientos tópicos empleados en otras formas de psoriasis, como los corticoides, inmunomoduladores o análogos de la vitamina D, pueden ser eficaces para controlar los brotes de la enfermedad.
Tabla Comparativa: Psoriasis vs. Liquen Plano
| Característica | Psoriasis | Liquen Plano |
|---|---|---|
| Lesiones cutáneas | Placas eritematosas con escamas | Pápulas rojo-violáceas, truncadas, en placas |
| Prurito | Variable | Común e intenso |
| Uñas | Piqueteado, manchas de aceite, onicólisis | Estrías longitudinales, fisuras, pterigion (menos común) |
| Mucosas | Menos común | Placas reticulares blanquecinas |
| Localización | Codos, rodillas, cuero cabelludo, pliegues | Muñecas, tobillos, tronco, mucosas |
| Estrías de Wickham | Ausentes | Presentes en lesiones cutáneas |
Otras Afecciones Ungueales a Considerar
- Onicomicosis: Infección de las uñas causada por hongos, que afecta más a las uñas de los pies.
- Infecciones bacterianas: Afectan más a las uñas de las manos, como la paroniquia aguda.
- Alopecia Areata: Puede causar alteraciones ungueales como piqueteado geométrico, traquioniquia, y eritema moteado de la lúnula.