La dermatitis es una afección común que causa hinchazón e irritación de la piel. Tiene muchas causas y tipos, y a menudo implica piel con picazón y seca o un sarpullido. Aplicar con regularidad crema hidratante ayuda a controlar los síntomas. La dermatitis no es contagiosa, pero puede ser muy molesta. Cada tipo de dermatitis tiende a ocurrir en diferentes partes del cuerpo.

Dermatitis atópica en la mano.
Una causa común de la dermatitis es el contacto con alguna sustancia que irrita la piel o desencadena una reacción alérgica. Estos pueden incluir la hiedra venenosa, los perfumes, las lociones o las joyas que contienen níquel.
¿Qué es el Liquen Simple Crónico?
El liquen simple crónico (LSC) es una dermatitis crónica causada por el rascado y/o el roce repetido de la piel. Rascarse o frotarse causa más prurito y luego más rascado y/o fricción, creando un círculo vicioso (ciclo prurito-rascado). El diagnóstico se realiza mediante el examen físico. El tratamiento se dirige a causa inicial del prurito e incluye la educación del paciente y técnicas para evitar el rascado y la fricción, corticosteroides tópicos y antihistamínicos.
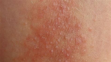
El liquen simple crónico es piel engrosada y gruesa (liquenificada) con grados variables de descamación, secundario al rascado o frotamiento reiterados. El liquen simple crónico no es un proceso primario. El prurito percibido en una zona específica de la piel (con patología de base o sin esta) provoca fricción y traumatismo mecánico, lo que causa liquenificación secundaria y mayor prurito.
El liquen simple crónico aparece con mayor frecuencia en personas con trastornos de ansiedad y estrés emocional inespecífico. Los pacientes con atopia o dermatitis atópica son particularmente susceptibles, dada su predisposición al prurito. El liquen simple crónico del escroto o la vulva a menudo es causado por el prurito iniciado por una radiculopatía de las neuronas sensitivas sacras.

Liquen simple crónico caracterizado por piel engrosada y descamada.
Fisiopatología del Liquen Simple Crónico
Se inicia con una señal inicial de prurito (cuya razón a menudo no está clara), el paciente reacciona rascándose o frotándose la piel de manera reiterada. Se desconoce la fisiopatología subyacente del liquen simple crónico, aunque puede haber varias alteraciones en la forma en la que el sistema nervioso percibe y procesa las sensaciones de prurito.
Signos y Síntomas
El liquen crónico simple se caracteriza por la aparición de placas pruriginosas, secas, descamadas, hiperpigmentadas y liquenificadas (simples o múltiples), de forma ovalada, irregular o angular. Compromete sitios de acceso fácil, como las piernas, los brazos, el cuello, la parte superior del tronco y la región genital. No ocurre en áreas de la piel que el paciente no puede alcanzar, como la parte media de la espalda (a menos que el paciente use una herramienta para rascarse la espalda).
El prurigo nodular es una enfermedad relacionada, probablemente una manifestación más prominente. En este trastorno, las lesiones cutáneas (nódulos) son más gruesas y típicamente múltiples.

Lesiones típicas del liquen simple crónico en la piel.
Diagnóstico del Liquen Simple Crónico
El diagnóstico del liquen simple crónico se basa en el examen. Una placa completamente desarrollada está a menudo hiperpigmentada, con cantidades variables de eritema de límites netos y líneas cutáneas exageradas, con aspecto engrosado y curtido característico de la liquenificación. El liquen plano constituye el diagnóstico diferencial principal, y a veces se necesita una biopsia para diferenciar entre los dos.
Diagnóstico Diferencial
- Liquen plano
- Oxiuros
- Tricomoniasis
- Hemorroides
- Secreción vaginal
- Infecciones fúngicas o micosis
- Verrugas
- Dermatitis de contacto
- Psoriasis
- Liquen escleroso
🟣 Como curar y tratar la dermatitis Atópica o Alérgica en Perros 🟣 con Remedios Caseros Naturales
Tratamiento del Liquen Simple Crónico
Si se puede identificar la causa inicial del prurito (p. ej., radiculopatía, zapatos mal ajustados, atopia), esta debe tratarse o abordarse. De lo contrario, el tratamiento primario del liquen simple crónico es la educación del paciente sobre los efectos del rascado y el roce.
El tratamiento secundario son los corticosteroides tópicos. Las lesiones gruesas bien definidas suelen requerir un corticosteroide tópico de alta potencia (p. ej., ungüento de clobetasol). La eficacia puede aumentar aun más mediante el uso de corticosteroides tópicos bajo oclusión, por ejemplo mediante la cobertura del área tratada con una envoltura de plástico, que se debe dejar actuar durante la noche. También hay productos a la venta en los que se integra un corticosteroide tópico (p. ej., flurandrenolida) en una cinta adhesiva oclusiva.
Opciones de Tratamiento
- Educación del paciente: Comprender los efectos del rascado y el roce.
- Corticosteroides tópicos: Ungüentos de alta potencia como clobetasol.
- Oclusión: Uso de corticosteroides tópicos bajo envolturas de plástico.
- Antihistamínicos: Para controlar el prurito y reducir el rascado.
Medidas Adicionales para el Cuidado de la Piel
Desarrollar una rutina básica de cuidado de la piel también puede ayudar a prevenir la dermatitis. Aquí hay algunas recomendaciones:
- Toma baños y duchas por menos tiempo: Limita el tiempo de la ducha o del baño a unos 10 minutos. Utiliza agua tibia, no caliente.
- Usa un jabón suave o un limpiador sin jabón: Elige un limpiador que no contenga tintes, alcohol ni fragancias. Algunos jabones pueden secar la piel. En el caso de los niños pequeños, por lo general, solo se necesita agua tibia para bañarlos; no es necesario usar jabón ni baños de espuma.
- Sécate con toquecitos suaves: No frotes la piel con una toallita o esponja vegetal.
- Hidrata toda la piel: Mientras la piel aún esté húmeda, sella la humedad con aceite, crema o loción. Hay muchas cremas humectantes a la venta. Prueba diferentes productos hasta encontrar uno que sea adecuado para ti. La crema humectante ideal debe ser segura, sin perfume, eficaz, asequible y una que te guste utilizarla con regularidad.
Complicaciones de la Dermatitis por Rascado
Perforarse la piel por rascarse repetidamente puede causar llagas abiertas y grietas. Esto aumenta el riesgo de infección por bacterias y hongos. En las personas con piel de tono oscuro o negro, la dermatitis puede hacer que la piel afectada se oscurezca o se aclare. Estas afecciones se denominan hiperpigmentación posinflamatoria e hipopigmentación posinflamatoria.
Otros Tipos de Dermatitis
La dermatitis es un término general que abarca varias afecciones de la piel. Aquí hay algunos tipos comunes:
- Dermatitis Atópica: Caracterizada por parches de piel enrojecida y con picazón, generalmente comienza en la infancia.
- Dermatitis Seborreica: Afecta principalmente el cuero cabelludo, causando piel escamosa, caspa y enrojecimiento.
- Dermatitis por Contacto: Causada por el contacto directo con sustancias irritantes o alérgenos.
- Dermatitis del Pañal: Común en bebés, causa inflamación y picazón en la zona del pañal.
- Eczema Dishidrótico: Presente en manos y pies con pequeñas ampollas y picazón intensa.

Infografía sobre la seguridad en picnics y cómo evitar irritantes que pueden causar dermatitis.
Cuándo Consultar a un Médico
Llame a su proveedor si:
- Los síntomas empeoran
- Usted presenta nuevos síntomas, especialmente signos de infección de piel como dolor, enrojecimiento, supuración de la zona o fiebre
Es importante buscar atención médica si experimenta síntomas persistentes o severos de dermatitis por rascado para recibir un diagnóstico adecuado y un plan de tratamiento efectivo.
tags: #dermatitis #por #rascado