Los ganglios linfáticos son estructuras esenciales del sistema linfático, que contienen células defensoras del cuerpo. Es común palparlos en niños y adolescentes sanos, especialmente en áreas como ingles, axilas o cuello. En bebés, es frecuente encontrarlos en la zona occipital o retroauricular.

Ubicación de los ganglios linfáticos en el cuerpo.
En más de la mitad de los niños en edad escolar, los ganglios del cuello son fácilmente palpables. El aumento del tamaño de un ganglio puede ser causado por diversas enfermedades, siendo la infección (viral o bacteriana) la causa más común, como en catarros, faringitis u otitis.
Aunque la inflamación de un ganglio puede generar angustia por la posibilidad de un proceso maligno, esta causa es muy improbable. Sin embargo, es crucial conocer las características de un ganglio que deberían preocupar y requerir una consulta urgente con un pediatra.
CAUSAS MÁS COMUNES DE ALERGIA EN LA PIEL | Dermatitis Alérgica por Contacto: PARTE 3
¿Qué es la Linfadenopatía Dermopática (LD)?
La linfadenopatía dermopática (LD) es una entidad histopatológica caracterizada por el aumento del tamaño de un ganglio, secundario a una dermatosis pruriginosa. Es una forma de hiperplasia paracortical asociada a enfermedades dermatológicas crónicas o, en ocasiones, a entidades sin compromiso cutáneo.
Clínicamente, se manifiesta como un aumento del tamaño de los ganglios linfáticos periféricos, aunque puede observarse en ganglios de tamaño normal. Es importante considerarla en el diagnóstico diferencial de la linfadenopatía periférica, junto con procesos malignos e infecciosos.
La relación entre linfadenopatía palpable y el riesgo de neoplasias sólidas y tumores linfoproliferativos subraya la importancia del diagnóstico y seguimiento de individuos con este hallazgo. Ante un paciente con dermatosis crónica y linfadenopatías, se debe realizar un diagnóstico diferencial que incluya enfermedades autoinmunes e infecciosas, además de las tumorales.
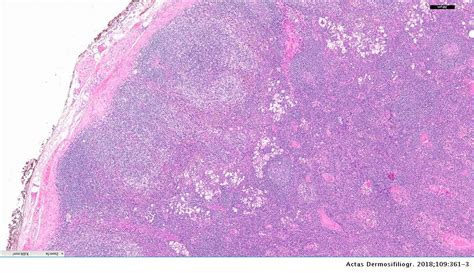
Características Clínicas y Diagnóstico de la LD
En la exploración física, los pacientes con LD presentan adenopatías palpables en diferentes localizaciones, principalmente en las regiones axilar, inguinal y cervical. Estas adenopatías se estudian mediante imágenes (ecografía y/o TAC). Según la accesibilidad de los ganglios, se realiza una punción aspiración con aguja fina o una biopsia.

Características de la Linfadenopatía Dermopática.
Los hallazgos histopatológicos son característicos: centros germinales ligeramente aumentados, rodeados por linfocitos, y la zona paracortical ensanchada. La zona paracortical aumentada presenta manchas pálidas debido a células de Langerhans y células dendríticas interdigitantes.
Diagnóstico Diferencial y Seguimiento
Las adenopatías persistentes requieren un amplio diagnóstico diferencial, considerando procesos infecciosos (tuberculosis, infecciones fúngicas), eritrodermias (psoriásica, atópica), sarcoidosis, procesos linfoproliferativos, metástasis de tumores malignos e infecciones como VIH, tuberculosis o toxoplasmosis. También pueden asociarse a procesos exfoliativos o eccematosos.
El estudio inicial incluye punción aspiración con aguja fina y/o biopsia ganglionar. Las pruebas de imagen previas pueden tipificar la extensión del proceso y ayudar a seleccionar la adenopatía más adecuada para estudio. La ecografía dermatológica es una técnica diagnóstica valiosa.
Es recomendable el seguimiento estrecho de los pacientes sin diagnóstico clínico objetivo, dado el riesgo de desarrollo de procesos linfoproliferativos, especialmente en la dermatitis atópica. Histológicamente, es preciso diferenciarla del linfoma de Hodgkin o las adenopatías en el contexto de un linfoma T.
Eczema en el Cuello: Causas y Tratamientos
La dermatitis atópica en el cuello es una reacción que causa picazón, producida por contacto directo con una sustancia o una reacción alérgica. La rojez puede indicar eccemas en el cuello. Este sarpullido puede desarrollarse en minutos u horas tras la exposición y durar de 2 a 4 semanas.
Síntomas de la Dermatitis en el Cuello
- Sarpullido con picazón.
- Manchas ásperas de color más oscuro que el habitual.
Tanto en bebés como en adultos, la dermatitis en el cuello puede ser causada por la exposición a sustancias alérgicas o irritantes. La dermatitis por contacto es la más frecuente.

Eczema en el cuello.
Tratamiento para el Eczema en el Cuello
El tratamiento para el eczema en el cuello es similar al del resto del cuerpo, ya que la piel del cuello es frágil y fina. Se puede mantener hidratada con cremas específicas para pieles sensibles, que ofrecen hidratación durante 24 horas para prevenir alergias y reacciones.
En bebés, la dermatitis en el cuello no suele curarse con un tratamiento que la haga desaparecer, pero se puede aliviar y retrasar la próxima crisis. Se recomienda aplicar un emoliente a diario, incluso antes de que se manifieste la dermatitis, para limitar los riesgos.
En el eczema atópico, se combinan dos tipos de cuidados: tratamiento extintor para aliviar la crisis y un cuidado para prevenir los brotes.
Tipos de Eczema
El eczema usualmente causa inflamación, picazón y enrojecimiento en áreas de la piel. Existen diferentes tipos, incluyendo:
- Eczema atópico
- Dermatitis de contacto
- Eczema discoide
El eczema no es contagioso, y en este artículo, se exploran seis tipos diferentes, sus síntomas, causas, diagnóstico y tratamientos.
Dermatitis Atópica
La dermatitis atópica es la forma más común de eczema, con síntomas que aparecen en la infancia y pueden variar de leves a graves. Los niños con dermatitis atópica tienen un alto riesgo de sensibilidad a los alimentos y son más propensos a desarrollar asma y fiebre del heno.
La dermatitis atópica tiende a causar parches de piel seca que pueden dar picazón, enrojecimiento o inflamación, apareciendo en los pliegues de los codos y rodillas, y en la cara, cuello y muñecas.
Los activadores de los brotes incluyen:
- Baja humedad, clima frío y cambios extremos en la temperatura
- Irritantes, como detergentes, jabones, perfumes y fragancias
- Ácaros del polvo
- Pelo y saliva de animales
- Infecciones de la piel
- Ciertos tejidos, como lana y sintéticos
- Cambios hormonales
- Alergia por alimentos
Dermatitis de Contacto
La dermatitis de contacto es una reacción de la piel a ciertas sustancias, que puede incluir piel reseca, roja y con picazón, ampollas y urticaria.
Existen dos tipos de dermatitis de contacto:
- Dermatitis irritante por contacto: Resulta de la exposición repetida a sustancias que irritan la piel, como ácidos, alcalinos, suavizantes de telas, detergentes fuertes, solventes, tintes de cabello, herbicidas y cemento.
- Dermatitis alérgica por contacto: Ocurre cuando el sistema inmunitario reacciona a un alérgeno, como pegamentos, látex, medicamentos, telas, plantas (hiedra venenosa, roble venenoso), ingredientes de cosméticos y ciertos metales.
Eczema Dishidrótico
El eczema dishidrótico, o eczema ponfólix, usualmente aparece en adultos menores de 40 años y se caracteriza por picazón intensa y la aparición de pequeñas ampollas en manos y pies. Las ampollas pueden infectarse, causando dolor e hinchazón, y pueden supurar pus. No está claro qué causa el eczema dishidrótico, pero es más común en personas con fiebre del heno, dermatitis atópica o infecciones fúngicas cutáneas.
Eczema Discoide
El eczema discoide, o eczema numular, se reconoce por los parches en forma de disco de piel con picazón, irritada, agrietada e inflamada. Los discos aparecen usualmente en las pantorrillas, torso y antebrazos. Los factores de riesgo incluyen piel seca, lesiones de la piel, picaduras de insectos, mala circulación sanguínea, clima frío, infecciones bacterianas cutáneas, ciertos medicamentos y sensibilidad a las comidas y formaldehído.
Eczema Varicoso
El eczema varicoso, también conocido como eczema venoso, gravitacional o estasis, es común en adultos mayores con venas varicosas. Afecta las pantorrillas y los síntomas pueden incluir manchas o ampollas calientes que pican, piel seca y escamosa, parches con supuración o costra y piel agrietada.
Eczema Asteatótico
El eczema asteatótico, también llamado eczema xerótico y eczema craquelé, generalmente afecta a las personas mayores de 60 años. Usualmente ocurre en las pantorrillas, pero también puede aparecer en otras partes del cuerpo. Los síntomas incluyen piel agrietada, seca con una apariencia característica, grietas o ranuras rosadas o rojasescamas, picazón y ardor.
Diagnóstico y Tratamiento del Eczema
El diagnóstico del eczema se basa en el historial médico y un examen físico. No existe una prueba específica, pero el médico puede realizar un test de parche para determinar si hay dermatitis de contacto. El tratamiento se centra en controlar los síntomas y evitar brotes, incluyendo:
- Humectantes o emolientes
- Cremas y ungüentos con esteroides
- Antihistamínicos
- Inhibidores de calcineurina tópica
- Fototerapia
- Antibióticos
Consejos generales para evitar brotes incluyen usar jabones suaves, evitar fragancias, usar agua más fría, secar la piel suavemente, evitar rascarse y usar ropa de fibras naturales.
Dermatitis Atópica: Una Visión Detallada
La dermatitis atópica es una inflamación crónica y pruriginosa de las capas superficiales de la piel, que suele afectar a personas con rinitis alérgica o asma, o que tienen familiares con estas enfermedades. Es muy frecuente, especialmente en países de ingresos elevados y en personas con tendencia a desarrollar alergias.
Causas de la Dermatitis Atópica
La dermatitis atópica es debida a un defecto genético de la barrera cutánea que predispone a la piel a la inflamación. A menudo es hereditaria y muchas personas o sus familiares afectados también tienen asma, fiebre del heno o ambos.
La dermatitis atópica no es contagiosa.
Síntomas de la Dermatitis Atópica
- En lactantes, aparecen erupciones rojas, exudativas y costrosas en la cara, el cuero cabelludo, las manos, los brazos, los pies o las piernas.
- Los niños mayores y los adultos tienden a presentar una o pocas manchas, por lo general en las manos, la parte superior de los brazos, la parte anterior de los codos o detrás de las rodillas.
- El síntoma principal es un prurito intenso que puede llevar a un rascado incontrolable, provocando el engrosamiento de la piel (liquenificación).
Complicaciones de la Dermatitis Atópica
El rascado y el frotamiento de la piel pueden erosionarla, permitiendo la penetración de bacterias que causan infecciones de la piel, de los tejidos situados bajo la piel y de los ganglios linfáticos circundantes. También puede desarrollarse inflamación generalizada y descamación de la piel.
Tratamiento de la Dermatitis Atópica
El tratamiento se centra en aliviar el prurito, cuidar la piel y utilizar medicamentos tópicos (corticoesteroides, tacrolimus, pimecrolimus, crisaborole, ruxolitinib) y sistémicos (dupilumab, tralokinumab, upadacitinib). También se pueden utilizar antibióticos o antivíricos en caso de infecciones.
El cuidado general de la piel incluye:
- Empleo de sustitutos de jabón en lugar de jabón normal
- Aplicación de cremas hidratantes inmediatamente después del baño
- Reducir la frecuencia de los baños
- Limitar la temperatura del agua de baño a agua tibia
- Palmear suavemente la piel para secarla después del baño
- Tomar baños con lejía diluida para personas que tienen ciertas infecciones cutáneas
Pronóstico de la Dermatitis Atópica
La dermatitis atópica suele reducir su intensidad cuando los niños tienen 5 años. Sin embargo, los brotes son comunes en la adolescencia y en la edad adulta.
Eczema en el Cuello y la Nuca: Consideraciones Específicas
Los eczemas en el cuello y en la nuca son frecuentes debido a las características de la zona. El cuello está formado por pliegues, lo que lo hace particularmente susceptible al eczema infantil. En la edad adulta, el eczema del cuello se enmarca en una forma específica de dermatitis atópica denominada «eczema de cabeza y cuello ».
Causas del Eczema en el Cuello y la Nuca
- Eczema de contacto: Alergia de contacto al níquel (en collares de bisutería) o a componentes del esmalte de uñas.
- Irritación: Bufandas de lana, etiquetas, cuellos ceñidos, sudoración, champú que cae por el cuello al aclarar.
- Estrés: Puede agravar el eczema.
Tratamiento del Eczema en el Cuello
El tratamiento del eczema del cuello es el mismo que el del resto del cuerpo. La crema con cortisona a veces se sustituye por una pomada antiinflamatoria de tipo inmunosupresor tópico, ya que la piel del cuello es fina y frágil como la de la cara.
Ganglios Inflamados en el Cuello: Causas y Recomendaciones
Los ganglios o masas en el cuello son frecuentes en los niños y la mayoría de las veces son benignos, siendo consecuencias de alteraciones en el cuero cabelludo, infecciones en el oído y la garganta.

Ganglios inflamados en el cuello en niños.
Cuando los ganglios se inflaman, aumentan de tamaño y son más fáciles de palpar, indicando que las defensas se activaron para controlar la infección. Sin embargo, con mucha menos frecuencia, pueden ser la manifestación inicial de otras enfermedades graves como el cáncer.
Recomendaciones para Consultar al Médico
- Pérdida de peso.
- Fiebres recurrentes.
- Sudoración nocturna excesiva.
- Palidez generalizada.
- Fatiga, debilidad y malestar general.
- Ganglios mayores de 2.5 cm.
- Ganglios poco móviles, duros no dolorosos.
- Muchos ganglios inflamados.
- Ganglios localizados sobre o detrás del músculo esternocleidomastoideo.
- Si después de 4 semanas de un tratamiento adecuado no disminuyen de tamaño o no desaparecen.
- Cuando la ansiedad de los padres supera cualquier explicación razonable.
Ganglios Linfáticos Inflamados: Una Visión General
Los ganglios linfáticos son pequeñas glándulas que filtran el líquido linfático y se inflaman en respuesta a infecciones y tumores. Están ubicados en todo el cuerpo, incluyendo axilas, debajo de la mandíbula, a cada lado del cuello, a cada lado de la ingles y sobre la clavícula.
Causas de la Inflamación de los Ganglios Linfáticos
- Infecciones: Resfriado, gripe, infección de los senos nasales, infección por VIH, dientes infectados, mononucleosis, infecciones de la piel, faringitis estreptocócica.
- Trastornos del sistema inmunitario: Lupus, artritis reumatoide.
- Cáncer: Linfoma, metástasis de tumores sólidos.
- Medicamentos: Anticonvulsivos, antipalúdicos.
- Infecciones de transmisión sexual: Sífilis, gonorrea.
- Otras causas: Fiebre por arañazo de gato, infección de oído, gingivitis, enfermedad de Hodgkin, leucemia, sarampión, amigdalitis, toxoplasmosis, tuberculosis, síndrome de Sézary, herpes.
Síntomas de la Inflamación de los Ganglios Linfáticos
- Dolor al tacto.
- Dolor al girar la cabeza o masticar (ganglios en el cuello).
- Dolor al caminar o inclinarse (ganglios en la ingle).
- Tos.
- Fatiga.
- Fiebre.
- Escalofríos.
- Secreción nasal.
- Sudoración.
Diagnóstico de la Inflamación de los Ganglios Linfáticos
- Examen médico.
- Examen de sangre.
- Pruebas de imágenes (tomografías computarizadas, resonancias magnéticas, rayos X y ultrasonidos).
- Biopsia del ganglio linfático.
Tratamiento de la Inflamación de los Ganglios Linfáticos
- Observación sin tratamiento.
- Antibióticos o medicamentos antivirales.
- Medicamentos para el dolor y la inflamación (aspirina, ibuprofeno).
- Tratamiento del cáncer.