La queratosis actínica (QA) es una lesión cutánea común que requiere atención debido a su potencial para evolucionar a carcinoma epidermoide. Este artículo ofrece una revisión exhaustiva de la queratosis actínica, abordando su presentación clínica, histopatología y las opciones de tratamiento disponibles.

Queratosis Actínica en la Oreja
Presentación Clínica de la Queratosis Actínica
Las lesiones en la queratosis actínica aparecen como lesiones queratósicas verrucosas discretas múltiples, planas o elevadas, aunque por lo general tienen una base plana eritematosa cubierta por una escama. Se pueden localizar en la cara, cuero cabelludo, dorso de las manos, tórax u otras áreas expuestas al sol, de color gris, rosado, roja (eritematosa) o del mismo color de la piel, comienza como áreas planas y escamosas, posteriormente desarrolla una superficie dura, verrugosa o arenosa, áspera y con aspecto de «papel de lija» e igualmente puede desarrollar una textura corniforme.
La lesión en la piel puede ser más fácil de sentir que de ver. La queílitis actínica es una queratosis del labio, la mayoría de las veces, inferior. Existen varios tipos clínicos de queratosis actínica: queratosis actínica hiperqueratósica, cornu cutaneum, queílitis actínica, etc.
Riesgos Asociados a la Queratosis Actínica
Lo que más preocupa de las queratosis actínicas (QA) es su capacidad de desarrollar un carcinoma epidermoide in situ o infiltrante, una situación que ocurre anualmente en un porcentaje que va del 0,025 al 16 %. Este hecho hace imprescindible el seguimiento de este tipo de lesiones por parte de un dermatólogo, a fin de detectar de forma precoz la posible progresión a tumores con peor pronóstico que las lesiones premalignas.
Por ello, es fundamental que una vez detectadas en la consulta de atención primaria, se instaure el tratamiento más conveniente según el tipo y extensión de las lesiones y, posteriormente, el paciente sea evaluado por un dermatólogo que valore un correcto cumplimiento del paciente y descarte la posibilidad de lesiones evolucionadas.

Carcinoma Epidermoide
Evolución de la Queratosis Actínica a Carcinoma Epidermoide
Una vez que aparece la queratosis actínica puede tomar tres caminos, la involución espontánea, que es la situación más frecuente en pacientes inmunocompetentes; la persistencia o la progresión a un carcinoma epidermoide in situ o invasor. No se ha determinado con claridad el riesgo relativo de desarrollar un carcinoma epidermoide, pudiendo encontrarse entre el 0,1 al 20 %.
Clasificación de Olsen
Según la clasificación de Olsen, las queratosis actínicas se dividen en tres grupos:
- Actínica I: Lesión eritematoescamosa, más palpable que visible (piel como lija de agua). Histológicamente alcanza 1/3 de la epidermis.
- Actínica II: Lesión visible y palpable eritematosa o marronácea con abundante escama. Puede ocupar 2/3 de la epidermis en profundidad.
- Actínica III: Placa indurada o lesión nodular de aspecto queratósico que histológicamente afecta a la totalidad de la epidermis.
El problema de esta clasificación es que no existe correlación entre la clínica y la histología. Además, estudios recientes han evidenciado que los tipos de queratosis actínicas con invasión superficial de la epidermis son las que más frecuentemente se asocian con un carcinoma epidermoide, por proliferación de células atípicas a lo largo de estructuras anexiales.
Sin embargo, el modelo clásico de progresión relacionaba el carcinoma epidermoide con queratosis actínicas más profundas en la epidermis. Por ello, todas las queratosis actínicas, sin importar el grosor epitelial, son potencialmente invasivas.
El Cuerno Cutáneo y su Relación con la Queratosis Actínica
El cuerno cutáneo se define como una lesión tumoral, por lo general de aspecto cónico, en la cual prevalece la longitud sobre su diámetro, con gran hiperqueratosis en su extremo y de variadas causas. Puede asociarse con lesiones benignas, premalignas (queratosis actínica) y malignas (carcinoma espinocelular) de piel, por lo que es necesario la exéresis completa de la lesión además de un examen histopatológico.
El nombre cuerno cutáneo hace referencia a una lesión hiperqueratósica, bien definida, coniforme. Los cuernos cutáneos suelen asociarse con lesiones benignas o malignas y aparecer en zonas expuestas. Son varias las lesiones que pueden constituir la base del cuerno cutáneo, incluyendo carcinomas espinocelulares, queratosis actínicas, queratoacantomas, enfermedad de Bowen, queratosis seborreicas, carcinomas basocelulares, hemangiomas, balanitis seudopapilomatosa micácea, sarcoma de Kaposi, adenoma sebáceo y enfermedad de Paget de la mama, etc.
El tratamiento consiste en la exéresis completa de la lesión, con profundidad en la base para evitar recidivas, tanto del mismo cuerno como de otras lesiones malignas o premalignas que pudieran aparecer.
Queratosis actínica: qué es, prevención, diagnóstico y tratamiento - #CuidaTuSalud
Características Clínicas del Cuerno Cutáneo
El cuerno cutáneo es un concepto semiológico, se presenta como una protrusión córnea hiperqueratósica y circunscrita, de color blanco-amarillento, recta o curva, similar al cuerno de un animal, cuyo tamaño varía desde unos pocos milímetros hasta varios centímetros, es una concepción meramente clínica que no define el patrón histológico, y puede tener como base una lesión benigna, premaligna o maligna.
Para una mejor comprensión de las características clínicas de esta entidad describiremos diferentes casos clínicos publicados y que guardan cierta semejanza con el nuestro, así como su prevalencia y lesiones más frecuentemente asociadas. También abordaremos diversos aspectos sobre la queratosis actínica y el carcinoma espinocelular, presentes en nuestra paciente.
Prevalencia del Cuerno Cutáneo y Lesiones Asociadas
En varias series de casos revisados, para valorar las asociaciones histopatológicas del cuerno cutáneo, se demostró su preferencia a partir de lesiones benignas. En el estudio de Yu et al., de un total de 643 cuernos cutáneos, 250 (38, 9%) se asociaron con lesiones epidérmicas malignas o premalignas y 392 casos (61%) se asociaron a lesiones benignas, 175 casos (70%) de las lesiones premalignas o malignas se localizaron en zonas de exposición solar: nariz, pabellones auriculares, dorso de las manos, cuero cabelludo, antebrazos y cara. Las lesiones más frecuentemente encontradas fueron queratosis solares y carcinoma de células escamosas.
Como podemos ver el universo de lesiones histopatológicas que se pueden asociar a los cuernos cutáneos es variado, entre las lesiones benignas asociadas se encontraron queratosis seborreicas, verrugas virales, queratoacantoma, quistes epidermoides y triquilémicos. Las lesiones premalignas mostraron preponderancia por las queratosis actínicas y queratosis arsenicales, mientras las malignas fueron dominadas por el carcinoma espinocelular bien diferenciado, carcinoma basocelular, carcinoma renal metastásico, carcinoma sebáceo, enfermedad de Bowen y sarcoma de Kaposi.
Factores Etiológicos y de Riesgo
Desde el punto de vista etiológico se plantea que la radiación ultravioleta (RUV) actúa produciendo mutaciones del ADN celular lo que provoca un crecimiento descontrolado y además actúa como inmunosupresor, además de la RUV se conocen varios factores de riesgo como la edad, la piel clara y la inmunodepresión.

Queratosis Actínica - Placa eritematoescamosa en región frontal
Diagnóstico y Tratamiento
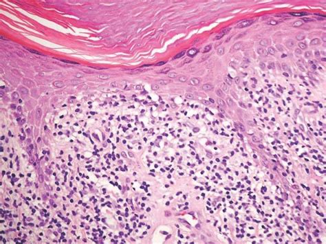
La biopsia confirmaría el diagnóstico, la histología de la queratosis actínica se asemeja mucho a la de la enfermedad de Bowen.
El tratamiento sería la exéresis de la lesión a través de electrocauterización, crioterapia, cirugía, láseres y otras fuentes de luz, aplicación de medicamentos tópicos como cremas de 5-fluorouracilo e imiquimod, se utilizan para personas que tengan muchas lesiones. Dentro de todas estas modalidades de tratamiento, la criocirugía es una de las más empleadas, aunque el mejor tratamiento es la prevención, mediante el uso de ropa adecuada, y la aplicación de factores de protección.
Características Clínicas del Carcinoma Espinocelular
El carcinoma espinocelular, epidermoide o escamoso es el segundo tumor más frecuente de la piel. Se observa preferentemente en zonas fotoexpuestas. Menos frecuentemente, se da en relación con úlceras crónicas, quemaduras, cicatrices de vacunas, fístulas, sinus pilonidal, acne conglobata e hidroadenitis supurativa.
También es más frecuente en pacientes con genodermatosis como xerodermia pigmentosa y albinismo. Se asocia a otras dermatosis, como liquen plano, lupus discoide, nevos epidérmicos, lupus vulgaris, epidermodisplasia verruciforme, liquen escleroso y atrófico. Los pacientes con inmunodeficiencia secundaria, como trasplantados renales, tienen mayor incidencia de carcinoma epidermoide.
Factores causales son luz ultravioleta tipo B, hidrocarburos, irritación crónica y virus del papiloma. Se presenta en forma de úlceras de bordes indurados y elevados o en forma de cuerno cutáneo. Histológicamente, es un carcinoma sólido con diferenciación córnea en forma de perlas córneas, disqueratosis aisladas y puentes intercelulares prominentes.
Tratamiento y Prevención en Atención Primaria
Desde el punto de vista de nuestro ámbito de trabajo (atención primaria) estas enfermedades pueden ser tratadas, si las condiciones lo permitieran, ya que hay que tener en cuenta las condiciones de trabajo actuales: tiempo, sobrecarga asistencial, listas de espera y que no todos los centros de atención primaria disponen de unidades y el instrumental apropiado para realizar intervenciones de cirugía menor, siempre teniendo en cuenta como premisa fundamental que la exéresis de la lesión debe ser completa, profundizando en la base y con márgenes amplios, dada la probabilidad malignidad o de asociación a lesiones premalignas y malignas que presentan.
También hay que trabajar basándose en la prevención, aconsejando evitar la exposición solar por largos períodos de tiempo y la protección de la zonas más sensibles a estar expuestas al sol, mediante el uso de ropa adecuada, y la aplicación de factores de protección, teniendo en cuenta que trabajamos en un ámbito rural donde hay gran cantidad de personas dedicadas a actividades agrícolas, lo cual aumenta el riesgo de aparición de las mismas.
tags: #queratosis #actinica #histopatologia