El acné es una enfermedad cutánea frecuente que produce granos y otras anomalías en la cara y en la parte superior del tronco. El acné es la enfermedad cutánea más común en los Estados Unidos y afecta al 70% de la población en algún momento de la vida. Para diagnosticar el acné, se explora la piel.
Los tratamientos habituales consisten en antibióticos y preparaciones tópicas para el acné leve, antibióticos por vía oral para el acné moderado e isotretinoína por vía oral para el acné grave.

Causas del Acné
El acné se debe a una interacción de las hormonas, el sebo y las bacterias que da lugar a una inflamación de los folículos pilosos (los poros de la piel donde crece el pelo). El acné se produce cuando una acumulación de sebo seco, células muertas y bacterias obstruye los folículos pilosos y bloquea el sebo que sale por los poros.
Las glándulas sebáceas, que secretan una sustancia aceitosa (sebo), están localizadas en la dermis, la capa central de la piel. Estas glándulas se encuentran unidas a los folículos pilosos. El sebo, junto con las células muertas cutáneas, pasa por las glándulas sebáceas y los folículos pilosos y sale a la superficie de la piel por los poros.
El acné se caracteriza por muchos tipos de anomalías cutáneas (lesiones). Varían en tamaño y gravedad, y algunos penetran más profundamente en la piel que otros:
- Puntos negros (comedones abiertos)
- Puntos blancos (comedones cerrados)
- Espinillas (comedones cerrados inflamados)
- Lesiones elevadas sólidas (pápulas)
- Protuberancias superficiales que contienen pus (pústulas)
- Protuberancias más profundas y firmes que contienen pus (nódulos)
- Vesículas más grandes que contienen pus (quistes)
- A veces, vesículas incluso más grandes y profundas que contienen pus (abscesos)
Tanto los quistes como los abscesos son depósitos de pus, pero los abscesos son más grandes y profundos.
Desencadenantes Comunes
El desencadenante más común del acné es la pubertad. El acné aparece principalmente durante la pubertad, cuando el incremento de los niveles hormonales, en especial de los andrógenos (como la testosterona), estimula las glándulas sebáceas, de manera que estas producen una cantidad excesiva de sebo.
Por lo general, entre los 20 y los 25 años de edad aproximadamente, los niveles de hormonas se han reducido lo suficiente para que disminuya o desaparezca el acné. Sin embargo, algunas mujeres tienen acné a los 40 años.
También existen otros trastornos que ocasionan cambios hormonales que favorecen la aparición del acné:
- Embarazo o menstruación
- Síndrome del ovario poliquístico
- Ciertos medicamentos
- Ciertos productos aplicados a la piel
- Ropa muy ajustada
- Humedad elevada y sudoración
Puede aparecer con el ciclo menstrual en las mujeres jóvenes y desaparecer o empeorar sustancialmente durante el embarazo. El síndrome de ovario poliquístico es un trastorno hormonal que puede alterar el ciclo menstrual y puede desencadenar o empeorar el acné. El uso de ciertos medicamentos, en particular de corticoesteroides y esteroides anabolizantes, puede empeorar el acné o causar brotes. Ciertos cosméticos, limpiadores y lociones pueden agravarlo al obstruir los poros. La ropa demasiado apretada, la humedad elevada y el sudor pueden provocar acné.
Dado que el acné varía en intensidad en la mayoría de las personas, empeorando o mejorando, es difícil señalar los factores que pueden causar un brote. El acné a menudo empeora en invierno y mejora en verano, tal vez por los efectos antiinflamatorios de la luz solar. No obstante, no existe relación entre el acné y lavarse poco la cara, masturbarse, comer chocolate y mantener relaciones sexuales.
No se sabe con certeza si los productos lácteos y una dieta rica en hidratos de carbono simples o procesados y azúcares (una alimentación con índice glucémico elevado) contribuyen al acné.

Síntomas del Acné
La mayor parte del acné aparece en la cara, pero también es frecuente en el cuello, los hombros, la espalda y la parte superior del tórax. Generalmente, el uso de esteroides anabolizantes causa acné en los hombros y la parte superior de la espalda.
Hay 3 niveles de gravedad del acné:
- Acné leve
- Acné moderado
- Acné grave
Sin embargo, incluso el acné moderado puede ser angustioso, sobre todo en los adolescentes, para quienes cada grano representa un desafío estético.
Los afectados por acné leve tienen solo unos cuantos puntos negros o blancos no inflamados o un número moderado de granitos levemente irritados. También pueden aparecer pústulas, que parecen pápulas con la parte superior amarilla. Los puntos negros aparecen como pequeños bultitos de color carne con el centro oscuro. Los puntos blancos tienen un aspecto similar, pero sin el centro oscuro. Las pápulas son un poco molestas y tienen un centro blanco rodeado por una pequeña zona de piel enrojecida.
Los afectados por acné moderado tienen más puntos negros, puntos blancos, granos y pústulas.
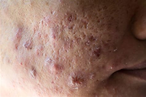
Las personas con acné grave tienen un gran número de puntos blancos y negros, pápulas y pústulas o acné quístico (profundo). En el acné quístico, los quistes son nódulos grandes, rojos, dolorosos y llenos de pus que pueden fusionarse bajo la piel y formar abscesos de mayor tamaño y supurantes.
El acné leve no suele dejar cicatrices. Sin embargo, apretar los granos o intentar abrirlos aumenta la inflamación y la profundidad de la lesión, y con ello es más probable la formación de cicatrices. Los quistes y los abscesos del acné grave se rompen a menudo y, después de su curación, normalmente dejan cicatrices. Las cicatrices pueden ser agujeros diminutos y profundos (cicatrices de punzón de hielo), marcas más anchas de profundidad variable o grandes indentaciones irregulares. Las cicatrices del acné duran toda la vida y en algunos casos suponen una fuente de problemas emocional. El acné grave puede aparecer en los brazos, el abdomen, las nalgas, e incluso el cuero cabelludo.
El acné fulminante y la pioderma facial (también llamada rosácea fulminans) son 2 tipos posiblemente relacionados y raros de acné grave que suelen desarrollarse de forma repentina.
Diagnóstico del Acné
El diagnóstico del acné se basa en la exploración de la piel. Se buscan determinados síntomas, como puntos blancos y negros, para confirmar la presencia de acné y no de otra enfermedad de la piel, como la rosácea.
Tras la confirmación del diagnóstico, la gravedad del acné se clasifica como leve, moderada o grave según el número y el tipo de lesiones.
Tratamiento del Acné
El tratamiento del acné depende de su gravedad. Para el acné leve está indicado un tratamiento simple, con el menor riesgo de efectos adversos. El acné más grave o el que no responde al tratamiento preliminar necesita tratamientos adicionales. Un plan de tratamiento debe incluir siempre la educación, el apoyo y la opción más práctica para el afectado. Es posible que se tenga que visitar a un especialista.
El cuidado general del acné es muy simple. Las áreas afectadas deben lavarse cuidadosamente con un jabón suave una o dos veces al día. Los jabones antibacterianos o abrasivos, las almohadillas de alcohol y el frotamiento frecuente no proporcionan beneficio adicional alguno y pueden irritar aún más la piel. Los cosméticos deben ser a base de agua, ya que los productos muy grasos empeoran el acné.
Debe seguirse una dieta sana y equilibrada. Si el tratamiento del acné en los adolescentes es ineficaz, podría considerarse el paso a una dieta baja en hidratos de carbono simples o procesados y azúcares (una dieta de bajo índice glucémico) y la moderación en la ingesta de leche, si bien la efectividad de estas medidas en el tratamiento del acné es objeto de controversia. Lavarse y frotarse de manera vigorosa puede irritar la piel y empeorar el acné.
Algunos tratamientos para el acné son útiles en ciertos casos. Por ejemplo, a las mujeres que tienen acné se les puede administrar anticonceptivos que contienen estrógeno y un progestágeno. Este tratamiento requiere más de 6 meses de administración para que se observen resultados. La espironolactona (un fármaco que bloquea la acción de la hormona aldosterona) también puede ser eficaz para algunas mujeres. La clascoterona es otro fármaco que bloquea los efectos de ciertas hormonas, y se puede utilizar para tratar el acné en personas de 12 años de edad en adelante. Varias terapias basadas en la luz pueden resultar de ayuda a las personas que presentan inflamación (con espinillas o pústulas).
Tratamiento del Acné Leve
Los fármacos utilizados para tratar el acné leve se aplican sobre la piel (fármacos tópicos). Actúan mediante la eliminación de las bacterias (antibióticos) o bien mediante el secado y la abertura de los poros (comedolíticos). Las cremas tradicionales de venta sin receta que contienen ácido salicílico, resorcinol o azufre, actúan secando los granos y causan una leve descamación.
El fármaco tópico de venta con receta más habitual para los puntos negros y blancos es la tretinoína. La tretinoína es muy eficaz, pero irrita la piel y la vuelve más sensible a la luz solar. Por lo tanto, este fármaco se utiliza con precaución, al principio con aplicaciones poco frecuentes y en bajas concentraciones, que pueden aumentarse gradualmente. Las personas que no toleran la tretinoína reciben adapaleno tópico, ácido azelaico y ácido glicólico o salicílico.
Las que también tienen inflamación (con granos o pústulas) reciben tretinoína combinada con peróxido de benzoilo, un antibiótico tópico o ambos. Los 2 antibióticos tópicos prescritos con mayor frecuencia son la clindamicina y la eritromicina. La espuma de minociclina y la dapsona son otros antibióticos tópicos. No deben utilizarse antibióticos tópicos excepto en combinación con un retinoide, como la tretinoína o el peróxido de benzoilo. El peróxido de benzoilo está disponible con o sin receta médica. Se puede utilizar ácido glicólico en lugar de tretinoína o de manera concomitante, pero ya no se utiliza de forma habitual.
El médico puede eliminar los puntos negros y blancos con unos instrumentos denominados extractores de comedones y con agujas estériles (procedimiento denominado extracción).
Se pueden administrar antibióticos orales (como doxiciclina, minociclina, tetraciclina y eritromicina) a las personas que tienen un acné tan extenso que no puede controlarse con medicamentos tópicos.
Tratamiento del Acné Moderado
El acné moderado se trata habitualmente con antibióticos tomados por vía oral (por la boca). Los antibióticos habituales son doxiciclina, minociclina, tetraciclina y sareciclina. La azitromicina, la eritromicina y la sulfametoxazol, trimetoprima son otras opciones. A menudo se combina un tratamiento tópico como el empleado para el acné leve con un antibiótico tomado de forma oral. Hace falta tomar antibióticos durante unas 12 semanas para lograr los máximos beneficios.
Si es posible, se interrumpe el uso de antibióticos y se utilizan solo tratamientos tópicos para mantener el control. Dado que el acné puede reaparecer tras un tratamiento a corto plazo, puede ser necesario continuarlo durante meses o años.
Tratamiento del Acné Grave o Quístico
Para el acné grave o quístico, se prescribe un tratamiento muy potente llamado isotretinoína (Accutane). Se centra en el exceso de producción de grasa en la raíz del problema, y puede curar incluso el acné quístico. Sin embargo, esta medicación es fuerte, y puede tener graves efectos secundarios. Un gran poder conlleva una gran responsabilidad. Esta solución se utiliza como último recurso, y los pacientes necesitan hacerse análisis de sangre con regularidad para comprobar la respuesta del cuerpo al tratamiento.
Entre los efectos secundarios se incluyen sequedad grave de la piel y los labios, así como del área nasal, que da lugar a descamación, tensión e incluso hemorragia nasal. Si tomas isotretinoína, necesitar mantener la piel hidratada con texturas nutritivas y densas, así como con un protector solar con SPF alto (30-50). Opta por un bálsamo labial fuerte, como el bálsamo NUTRITIC Labios, y prueba un espray de agua termal para aliviar la piel.

Consejos Prácticos para el Cuidado de la Piel con Acné
Los consejos de cuidado personal para el acné pueden ayudar con el problema, o evitar que empeore.
- Lavarse suavemente todos los días no más de dos veces al día y después de sudar.
- Usar jabones o limpiadores suaves y agua tibia, no agua caliente.
- No usar exfoliantes fuertes.
- Evitar restregar, pellizcar o raspar las espinillas, ya que hacerlo puede empeorarlas y causar inflamación.
- Las personas deben evitar el maquillaje o usar con moderación cosméticos a base de agua que estén marcados como no comedogénicos.
- Siempre que sea posible, evitar ambientes con alta humedad que provoquen sudoración excesiva.
Lavarse en exceso no es bueno para el acné. Lavar y restregar demasiado puede eliminar la grasa de la piel e irritarla más. La piel puede responder produciendo más grasa y empeorando el acné.
Es crucial no usar isotretinoína si planeas quedar embarazada o si estás o podrías estar embarazada, ya que existe un riesgo para el feto. Las mujeres deben hacerse una prueba de embarazo antes de comenzar a tomar el medicamento y usar anticonceptivos confiables antes y durante su uso.
Las personas con acné severo que necesitan usar isotretinoína deben ser remitidas a un dermatólogo registrado en el programa de monitoreo de medicamentos de la Dirección de Alimentos y Medicamentos de Estados Unidos (FDA, por sus siglas en inglés).
La forma más grave de acné es el acné quístico, que puede tratarse con una inyección de corticosteroide llamada triamcinolona. Esta inyección en la lesión tiene como objetivo reducir las cicatrices causadas por la inflamación.
Un dermatólogo puede recomendar o usar uno o una combinación de los siguientes:
- Terapias con láser y luz
- Exfoliaciones químicas
- Drenaje y extracción para eliminar un quiste
Una inyección con medicamento puede reducir el tamaño de un quiste grande si se requiere hacerlo rápidamente.
¿LA CURA MILAGROSA PARA EL ACNÉ?
Muchos pacientes vienen a la clínica buscando una cura para el acné que funcione de la noche a la mañana, y puedo entender completamente por qué quieren que actúe rápido. Si somos realistas, los resultados suelen tardar semanas en lugar de horas, y la regularidad es clave para erradicar el acné de la piel. Sin embargo, solo el 30-50 % de los pacientes suele atenerse a su tratamiento programado: Empiezan con las mejores intenciones pero, después, pierden la esperanza cuando las cosas no cambian de un día para otro. Siempre recomiendo a los pacientes que combinen tratamientos de prescripción con productos dermocosméticos eficaces.
Opta por limpiadores sin jabón de pH neutro y cremas hidratantes sin aceites. En cuanto al maquillaje, busca fórmulas no comedogénicas para que no se obstruyan los poros. También existen cremas especializadas para la piel con tendencia acneica, que contienen ingredientes como ácido salicílico y que puedes comprar en la farmacia. Te lo aseguro, el tratamiento médico adecuado puede verse fomentado con los productos cosméticos correctos.

Factores que Contribuyen al Acné
El acné ocurre cuando los folículos pilosos se obstruyen con sebo (aceite natural de la piel) y células muertas. Factores principales que contribuyen al acné:
- Cambios hormonales: Especialmente durante la pubertad, el embarazo o el ciclo menstrual.
- Producción excesiva de sebo: Aumenta la probabilidad de obstrucciones.
- Bacterias: Cutibacterium acnés es una bacteria que se encuentra en las glándulas sebáceas y es la principal causante del acné.
Tipos de Acné
- Acné no inflamatorio: Protuberancias indoloras que suelen aparecer como puntos negros o blancos. Causados por la acumulación de grasa y células muertas de la piel en poros abiertos.
- Acné inflamatorio:
- Pápulas: Lesiones inflamadas pequeñas y rojizas sin pus visible.
- Pústulas: Granitos dolorosos con pus en la punta. Más conocidas como espinillas.
- Nódulos y quistes: Formas graves de acné, de color rojizo.
Tratamientos Comunes
El tratamiento del acné depende de su gravedad y tipo.
Productos Tópicos
- Peróxido de benzoilo: Para el acné inflamatorio. Reduce bacterias y la inflamación.
- Ácido glicólico: Para el acné inflamatorio. Actúa como un exfoliante natural y ayuda a desobstruir los poros.
- Ácido salicílico: Para el acné no inflamatorio. Exfolia y desobstruye los poros eliminando las células muertas.
- Retinoides: Ayudan a regenerar la piel y reducir la obstrucción de poros.
Medicamentos Orales (bajo supervisión médica)
- Antibióticos: Para casos severos. Reducen bacterias y la inflamación.
- Anticonceptivos hormonales: En casos específicos regulan los niveles hormonales en mujeres con acné hormonal.
- Isotretinoína: Para casos muy severos.
El acné es una afección compleja que afecta a millones de personas en todo el mundo, pero no tiene por qué ser una batalla perdida. Con los tratamientos adecuados y una rutina de cuidado constante, es posible mejorar significativamente la salud y apariencia de la piel.

Nota: Este post está diseñado para proporcionar información general y no sustituye el consejo médico profesional.