Cuando se trata de la salud dental, la aparición de manchas en los dientes puede ser motivo de preocupación. Estas manchas pueden variar en tamaño y forma, y su origen puede ser diverso. Es importante señalar que tener una sonrisa sana y bonita es el deseo común de los pacientes.

Causas Comunes de las Manchas en los Dientes
Hay diferentes factores que influyen en la aparición de manchas en el esmalte, que no siempre son negras y pueden abarcar una amplia gama de tonos. En este artículo, te explicamos las causas de las manchas, que pueden tener diferentes tonos del blanco hasta el marrón oscuro o negro.
Caries Dentales
Una de las causas más habituales son las caries dentales. Cuando las bacterias en la boca descomponen los restos de alimentos y liberan ácidos, pueden dañar el esmalte dental. Esto conduce a la formación de pequeñas aberturas en los dientes, conocidas como cavidades. La prevención es clave en este caso.
Restos de Comida y Oxidación
A veces, las manchas negras en los dientes pueden ser causadas por restos de comida que se quedan atrapados en las fisuras y grietas de los dientes, que pueden oxidarse con el tiempo, lo que les da un aspecto negro o gris.
Medicamentos
Algunos medicamentos, como ciertos antibióticos (por ejemplo, tetraciclina) administrados durante la infancia, pueden causar la decoloración de los dientes, incluyendo manchas negras.
Alimentos y Bebidas
El consumo frecuente de ciertos alimentos y bebidas puede contribuir a la aparición de manchas negras. Por ejemplo, el café, el té negro y el vino tinto contienen pigmentos que pueden manchar los dientes con el tiempo. Para prevenir las manchas causadas por hábitos alimenticios, es aconsejable limitar el consumo de estos productos y realizar enjuagues bucales o cepillados después de su ingesta.

Tipos de Manchas en los Dientes
Las manchas en los dientes pueden adquirir tonalidades muy dispares. Las más habituales son las manchas amarillas, marrones o blancas.
Manchas Amarillas
Las manchas amarillas son, probablemente, las más comunes. Es decir, el tono amarillento puede aparecer como consecuencia del bruxismo, que es un hábito inconsciente que consiste en rechinar y/o apretar los dientes, especialmente durante las horas de sueño. Sin embargo, también puede darse durante el día (bruxismo diurno). Adicionalmente, hay otros factores que conllevan un desgaste del esmalte y que provocan manchas o un aspecto amarillento.
- Las manchas amarillas en los dientes son características del sarro, sobre todo cuando este no se ha tratado en fases iniciales y, como consecuencia, la placa bacteriana se calcifica.
- Los dientes con manchas amarillas también pueden ser el resultado de un traumatismo.
- Ciertos medicamentos pueden provocar alteraciones en la coloración de los dientes y volverlos amarillentos.
- Ciertos alimentos y bebidas también pueden estar detrás de este tipo de manchas en los dientes.
- El no cepillar los dientes después de cada comida provoca que los restos de alimentos se conviertan en placa bacteriana y, posteriormente, en sarro. Los dientes con sarro tienen una apariencia amarillenta que se manifiesta, sobre todo, en sus bordes.
- Para evitar que los dientes se vuelvan amarillos por este motivo, es recomendable moderar la frecuencia con la que se consumen alimentos y bebidas con mucha pigmentación. O, en su defecto, cepillarse los dientes 20 minutos después de comer.
Manchas Marrones
Las manchas marrones también son muy comunes. Este tipo de manchas pueden deberse a la misma causa que las amarillas (sarro, alimentación, tabaco…). Es decir, hay manchas superficiales que se pueden eliminar de manera relativamente sencilla mediante una limpieza dental profesional.
- Las manchas marrones en los dientes pueden aparecer cuando las caries progresan o la acumulación de placa bacteriana (sarro) es severa.
- Hay veces en las que, al retirar la ortodoncia, pueden aparecer manchas marrones en los dientes por brackets.
- El hábito de fumar es muy nocivo para la salud general y, por supuesto, para la boca. El mecanismo de acción es similar al de los alimentos y bebidas, salvo que en este caso los responsables son la nicotina y el alquitrán.
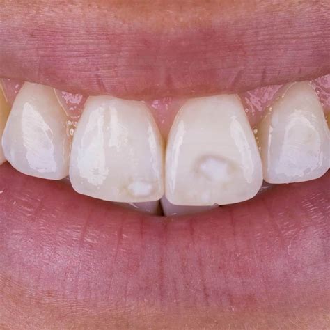
Manchas Blancas
Las manchas blancas en los dientes son, probablemente, las menos comunes de las tres. La aparición de manchas blancas en los dientes es muy común. Cada día recibimos pacientes con este problema para ponerle solución.
- Caries incipiente: la caries comienza con una ligera descalcificación del esmalte.
- Hipoplasia del esmalte: se trata de una malformación del esmalte que tiene lugar durante la niñez.
- Otra causa principal de la aparición de manchas blancas en los dientes es el exceso de acumulación de flúor en el esmalte. Se trata de una afección muy común entre pacientes que provienen de países con escasez de control en la fluoración de las aguas.
Esta afección se puede acompañar de manchas blancas en los dientes que aparecen generalmente en el borde con la encía.
Otros Colores de Manchas
Las manchas blancas y amarillas en los dientes son las más frecuentes, pero estos pueden presentar coloraciones muy variadas.
- La aparición de manchas negras entre la encía y el diente suele ser por caries o sarro en fases avanzadas.
- Tener una mancha roja en el diente puede ocurrir si este ha sufrido un traumatismo, debido a la hemorragia que se produce en el interior. Otra causa de manchas rojas, aunque poco frecuente, es la porfiria.
- Las manchas azules en los dientes pueden aparecer por el consumo de ciertos antibióticos como la minociclina, el linezolid y la amoxicilina. Otra causa puede ser haber sufrido una fractura o un golpe fuerte.
- Cuando hay un traumatismo importante, el diente puede sufrir un proceso de degradación que lleve a la necrosis. Esos suelen ser los principales motivos que hacen que las piezas dentales presenten esta coloración tan oscura. En los adultos, fumar puede ser una de las causas.
¡MANCHAS BLANCAS EN LOS DIENTES! | TRATAMIENTO PARA ELIMINARLAS
Otras Causas de Manchas en los Dientes
Hay algunos medicamentos que pueden alterar el esmalte dental. La clorhexidina es una sustancia antiséptica que se encuentra en algunos enjuagues y colutorios bucales. Los odontólogos la pautan tras realizar determinados tratamientos dentales, como los raspados y alisados radiculares (curetajes) o las cirugías de implantes. Sin embargo, su uso no controlado da lugar a antiestéticas tinciones y manchas marrones en los dientes.
Los golpes en la boca también son una de las principales causas por las que aparecen manchas. La pulpa es la parte más interna del diente y la que alberga, a su vez, los vasos sanguíneos y las terminaciones nerviosas. Por ello, si el golpe alcanza la pulpa se produce una necrosis pulpar. Es decir, el nervio muere y, como consecuencia, el diente cambia su color y se vuelve más oscuro.
El cambio de color de los dientes que se produce a consecuencia de sustancias de la circulación sistemática durante el desarrollo dental se define como pigmentación endógena o intrínseca. Se trata de alteraciones congénitas en las que las tinciones suelen conllevar un tratamiento más complejo.
El consumo de tetraciclina (antibiótico). Los dientes son susceptibles de teñirse con tetraciclina desde los 6 meses de gestación (vida intrauterina) hasta los 12 años de vida. Se pueden teñir dientes temporales (dientes de leche) o los dientes permanentes (que comienzan a salir después de los 5 años de edad). Al inicio esta pigmentación es amarilla, pero con la luz toma un color marrón (café).
La incompatibilidad Rh (eritoblastosis fetal) origina pigmentación endógena en los dientes primarios. Debido a la rotura de los glóbulos rojos fetales por los anticuerpos maternos, los productos de la desintegración de la sangre (bilirrubina) se depositan en los dientes primarios en desarrollo, los cuales tienen color de verde a café.
La porfirina congénita (trastornos innatos del metabolismo de las porfirinas) es también causa potencial de pigmentación endógena. Enfermedades de hígado como atresia biliar y hepatitis neonatal pueden producir pigmentación en los dientes de leche. En la atresia biliar, los dientes muestran coloración verdosa.
Hay una alteración en la calidad del esmalte de modo que se ve más opaco, de manera más localizada (vemos bien los límites de la zona que se ve más opaca) o difusa (no vemos bien los límites). Alteración en la “cantidad” de esmalte de manera que el existente no es suficiente para cubrir la superficie de la pieza.
Su causa puede ser genética (heredado), por una infección en los dientes temporales (dientes de leche) que daña los dientes permanentes que todavía no salen, por enfermedades como la rubeola, raquitismo y viruela, por alergias, falta de vitaminas, nacimientos prematuros, entre otras. Esta alteración puede ocasionar sensibilidad.
Es un tipo de hipoplasia producida por una ingesta excesiva y prolongada de flúor. Se puede presentar como manchas de aspecto moteado, también puede haber pérdida de esmalte, y al quedar expuesta la dentina (capa porosa bajo el esmalte), se facilita la tinción del diente con sustancias que se depositan sobre él.
Otros tipos de pigmentaciones son las producidas por hemorragia del diente, por ejemplo en una fractura, también por recibir un tratamiento de conducto (endodoncia) mal realizado. La tinción es de apariencia negruzca.
También se puede producir una tinción de color marrón grisáceo, cuando se “muere el diente”, proceso conocido como necrosis pulpar. Esto puede ocurrir, por ejemplo, cuando la pieza recibe un fuerte golpe.
Las manchas provocadas por tetraciclinas, un antibiótico muy utilizado en los años 60’s y 70’s en España, provocan una coloración en los dientes que van desde tonos amarillos-marrones hasta el gris.
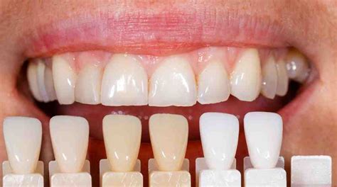
Tratamientos para Eliminar las Manchas
Para eliminar las antiestéticas manchas en los dientes es fundamental que acudas a tu dentista. Por lo general, es recomendable potenciar el efecto de la limpieza con un blanqueamiento dental. Por ello, lo más adecuado es realizar una limpieza profesional para eliminar las manchas superficiales y, posteriormente, recurrir a un blanqueamiento.
Así, además de eliminar las manchas, se conseguirá aclarar el color del diente de manera uniforme. Por ejemplo, esto ocurre con unas de las manchas más difíciles de eliminar de todas: las provocadas por las tetraciclinas.
Los avances en el tratamiento de las tinciones han avanzado en gran medida en los últimos tiempos. Si sufrís algún problema de este tipo, no dudéis en consultárnoslo.
Hay de manchas y manchas, algunas son sencillas de tratar y en 45 minutos hacemos que desaparezcan y otras requieren varias sesiones y procedimientos. ¡Descubre cómo lograr tu mejor sonrisa!
Higiene Dental Profesional
Una higiene dental profesional puede durar de 45 minutos a una hora y debe ser realizada por un/a higienista entrenado/a para no dañar tu esmalte.
Blanqueamiento Dental Profesional
El blanqueamiento dental profesional es un gel específico que oxida las manchas desde dentro, es decir actúa sobre la dentina (la parte interna que recubre el esmalte en los dientes), y no sobre el esmalte, por lo cual este no es dañado.
Carillas Dentales
Las carillas dentales son pequeñas láminas de porcelana o composite que se colocan sobre tus dientes o el diente afectado, logrando modificar su color e incluso su forma.
Recomendaciones para Evitar las Manchas
Para evitar la aparición de manchas, lo primero que hay que hacer es llevar una correcta higiene oral en casa. En otras ocasiones estas tinciones dentales son consecuencia de una enfermedad bucal e incluso sistémica y es necesario tratar la causa cuanto antes.
Lo mejor es que evitar las manchas en los dientes no te cuesta más que 4 minutos al día y una hora al año de inversión de tu tiempo. Te aseguramos que con estos 3 sencillos pasos, además de prevenir las manchas en tus dientes, podrás mantener la salud de tus dientes muchísimos años!
- Mantener una buena higiene dental es un punto clave para evitar la aparición de esas manchas. Para ello, es necesario cepillarse los dientes después de cada comida y acudir al dentista 1 o 2 veces al año para hacerse una limpieza dental.
- Para que el cepillado de dientes sea más efectivo a la hora de prevenir la erosión del esmalte dental, y por consecuencia, la posible aparición de manchas blancas en los dientes, os recomendamos usar una pasta de dientes adecuada a cada edad y evitar cepillar con agresividad tus dientes.
- Por último, es necesario cuidar la alimentación con una dieta equilibrada y saludable, que permita mantener unos los niveles de calcio adecuados y, por tanto, ayude a evitar la descalcificación de los dientes.
El tratamiento indicado para este tipo de manchas solo se puede hacer a través de un tratamiento profesional en el dentista. En el caso de que la mancha blanca sea por nacimiento de caries, urge que acudas a nuestra clínica dental para frenar el desarrollo de las bacterias con microabrasión.
| Tipo de Mancha | Causas Comunes | Posibles Soluciones |
|---|---|---|
| Amarillas | Sarro, bruxismo, alimentos pigmentados | Higiene dental, limpieza profesional, evitar alimentos pigmentados |
| Marrones | Sarro, caries, tabaco | Higiene dental, limpieza profesional, dejar de fumar |
| Blancas | Descalcificación, hipoplasia, exceso de flúor | Tratamiento con flúor, microabrasión, tratamiento de caries |
| Negras | Caries avanzadas, sarro | Tratamiento de caries, limpieza profesional |
En cualquiera de los casos, entendemos tu preocupación y queremos ayudarte a eliminar estas manchas blancas en los dientes.