Las verrugas son lesiones epidérmicas benignas y frecuentes causadas por una infección por el virus del papiloma humano (VPH). Pueden aparecer en cualquier parte del cuerpo con diferentes morfologías. El diagnóstico se realiza mediante el examen físico. Las verrugas suelen ser autolimitadas, aunque pueden tratarse con métodos destructivos (p. ej., escisión, cauterización, crioterapia, nitrógeno líquido) y agentes tópicos o inyectables. Las verrugas son casi universales en toda la población; afectan a pacientes de todas las edades, aunque son más frecuente en los niños y son raras en los adultos mayores.

Verrugas comunes en los dedos.
Etiología de las Verrugas
Las verrugas son lesiones cutáneas causadas por la infección por el virus del papiloma humano (VPH); existen más de 100 subtipos del VPH. Los traumatismos y la maceración facilitan la inoculación epidérmica inicial. Luego puede haber diseminación por autoinoculación. Los factores inmunitarios locales y sistémicos también parecen influir en la propagación; los pacientes inmunodeprimidos (especialmente aquellos con inmunidad celular deprimida [por ejemplo, infección por VIH, trasplante renal o antecedentes de inmunoterapia supresora tumoral]) corren un riesgo particular de desarrollar lesiones generalizadas que son difíciles de tratar.
La inmunidad celular mediada por células T CD8+ es crucial para que la infección establecida retroceda. Sin embargo, la inmunidad humoral intacta también puede proporcionar resistencia a la infección por el VPH.
Tipos de Verrugas
Las verrugas reciben diferentes nombres según su aspecto clínico y su localización; diversas formas se relacionan con distintos tipos de HPV. La mayoría de los tipos suelen ser asintomáticos. Sin embargo, algunas verrugas pueden provocar dolor leve, en especial si se ubican en las superficies que soportan peso (p. ej., plantas de los pies).
- Verrugas comunes: Suelen ser del mismo color de la piel, con superficie córnea y rugosas al tacto.
- Verruga plantar: Caracterizada por lesiones dolorosas que aparecen en las plantas de los pies, con aspecto similar a las callosidades.
- Verrugas planas: Se presentan como lesiones amarillentas, ligeramente elevadas, de 2-4 mm de diámetro. Son blandas y suaves al tacto.
- Verrugas filiformes: Son delgadas y alargadas, y tienen una forma parecida a hilos que sobresalen de la piel.
- Verrugas periungueales: Aparecen como fisuras cutáneas engrosadas, con forma de coliflor, que se localizan alrededor de la placa ungueal.
- Verrugas genitales: Se presentan como pápulas aterciopeladas, de límites netos, aplanadas con una base amplia, o como excrecencias ásperas y pediculadas en las regiones perineal, perirrectal, labial y peniana.

Diferentes tipos de verrugas. Fuente: CDC
Verrugas en Ojos y Párpados
Es importante conocer los diferentes tipos de verrugas para identificar cuál es la que ha aparecido en la piel alrededor de tus ojos. Estas son las más comunes:
- Verrugas filiformes: Estas suelen aparecer alrededor de los párpados debido a la naturaleza delicada de la piel en esta área. Aunque no suelen causar dolor, su apariencia puede ser molesta y deben ser tratadas con cuidado.
- Verrugas planas: Debido a su tamaño y forma plana, pueden pasar desapercibidas, pero su crecimiento puede afectar la piel alrededor de los ojos.
- Verrugas comunes: Estas verrugas pueden volverse incómodas cuando interfieren con el parpadeo o el uso de maquillaje.
- Verrugas pediculadas: Este tipo de verrugas puede aparecer en los párpados y su tamaño puede generar incomodidad o interferir con las funciones naturales del párpado.
Diagnóstico de las Verrugas
El diagnóstico de las verrugas se basa en el aspecto clínico; raras veces es necesario hacer una biopsia. Un signo cardinal de las verrugas es la interrupción de los dermatoglifos (crestas superficiales características en dedos, palmas, dedos de los pies y plantas) y la presencia de pequeños puntos negros (capilares trombosados) o sangrado al rasurar las verrugas. El rasurado se realiza típicamente sin anestesia.
Si es necesario, se puede confirmar el diagnóstico de una verruga afeitando su superficie para revelar capilares trombosados en forma de puntos negros.
Diagnósticos diferenciales:
- Callos (clavi): pueden ocultar las líneas de la piel, pero no muestran capilares trombosados tras rasurado
- Liquen plano: puede imitar las verrugas planas, pero puede estar acompañado de lesiones orales y estrías de Wickham y tener distribución simétrica
- Queratosis seborreica: las lesiones parecen más amontonadas, son pigmentadas, e incluyen quistes córneos llenos de queratina
- Marcas en la piel (acrocordón): pueden ser pedunculadas y más suaves y de color más semejante al de la piel que las verrugas
- Carcinoma epidermoide: puede ser ulcerado, persistente, y crecer de forma irregular
Está disponible la tipificación del ADN del virus en algunos centros médicos, aunque no suele ser necesario.
Tratamiento de las Verrugas
No hay indicaciones firmes sobre cuándo iniciar tratamiento en pacientes con verrugas. Se debe considerar el tratamiento para las verrugas que son cosméticamente inaceptables, en lugares que interfieren con la función, o dolorosas. Los pacientes deben ser motivados a adherirse a cumplir el tratamiento, lo que puede requerir un curso prolongado y puede no tener éxito. Los tratamientos son menos exitosos en pacientes inmunodeprimidos.
Los objetivos del tratamiento implican destruir la verruga, estimular una respuesta del sistema inmunitario para luchar contra el virus, o ambos. El tratamiento puede durar semanas o meses. Incluso si se van con el tratamiento, las verrugas tienden a reaparecer o a extenderse. El mejor tratamiento para ti depende de la ubicación de la verruga, los síntomas y tus preferencias.
Existen distintos tratamientos disponibles a la fecha: agentes queratolíticos, citotóxicos, inmunomoduladores, crioterapia, láser y la resección quirúrgica. Como ya hemos comentado, sólo se debe tratar aquellas lesiones que produzcan dolor, dificultades en la vida del paciente o un compromiso estético importante.

Tratamiento de verrugas con nitrógeno líquido. Fuente: Mayo Clinic
Opciones de Tratamiento:
- Medicamento de descamación: Los medicamentos para las verrugas con ácido salicílico eliminan las capas de una verruga poco a poco.
- 5-fluorouracilo: Este medicamento para las verrugas se aplica directamente en la verruga y se mantiene con vendaje durante 12 semanas.
- Antígeno de cándida: Esto estimula el sistema inmunitario para combatir las verrugas, incluso aquellas que no están cerca del sitio de la inyección.
- Congelamiento (Crioterapia): Consiste en crear una ampolla debajo y alrededor de la verruga para matar el tejido. El tejido muerto se desprende aproximadamente en el plazo de una semana.
- Otros ácidos: Tu profesional de atención médica podría recomendarte ácido tricloroacético o de otro tipo.
- Extirpar tejido: Para quitar parte de la verruga, tu profesional de atención médica puede usar un instrumento especial que se conoce como cureta.
- Tratamiento con láser: Los tratamientos con láser queman los diminutos vasos sanguíneos de las verrugas.
Se sugiere iniciar la terapia con preparados tópicos que contengan ácido salicílico, explicando previamente al paciente, sus potenciales riesgos, es decir que al tratar pueden quedar cicatrices que no ocurrirían si se resuelven espontáneamente.
En los casos en los que las verrugas en la cabeza sean muy grandes, estas se pueden extirpar con tecnología láser o incluso cirugía. Por otro lado, también puede utilizarse nitrógeno líquido para congelar la verruga (crioterapia).
Tratamiento para Verrugas en Ojos y Párpados
Eliminar verrugas en los párpados requiere especial precaución debido a la delicadeza de esta área. El láser CO2 y el de Erbium-Yag son los más efectivos para las verrugas de los ojos por:
- Su precisión de corte miniaturizado
- Porque evita el sangrado
- Reduce la posibilidad de infección
- Ofrece un buen resultado estético.
El tratamiento con láser es, sin duda, el más recomendado para eliminar verrugas en áreas delicadas como los párpados. Este procedimiento de alta precisión se basa en la vaporización del tejido afectado por medio de un haz de luz láser que concentra la energía térmica. El láser permite tratar la verruga sin dañar la piel circundante, lo que lo convierte en la opción ideal para tratar verrugas cerca de los ojos.
El láser no solo es efectivo en una sola sesión, sino que también tiene la ventaja de ser mínimamente invasivo, reduciendo el riesgo de cicatrices o complicaciones posteriores. Además, se considera un tratamiento rápido y seguro, con resultados visibles en muy poco tiempo. Su capacidad de eliminar las verrugas sin dañar el tejido sano lo convierte en el método preferido por los dermatólogos.
Eliminación de lunares con láser CO2
Remedios Caseros
Los tratamientos caseros, como los que se mencionan a continuación, suelen eliminar las verrugas comunes.
- Medicamentos para descamación: Los productos que se venden sin receta médica para eliminar verrugas, como el ácido salicílico, vienen en forma de paños, geles y líquidos.
- Congelamiento: Se encuentran disponibles algunos productos de nitrógeno líquido en forma de espray o líquido que se venden sin receta médica.
- Cinta adhesiva: Cubre la verruga con cinta adhesiva durante seis días. Luego, sumerge la verruga en agua y quita con cuidado el tejido muerto con piedra pómez o con una lima desechable.
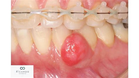
Granuloma Piogénico: Verruga Roja que Sangra
¿Alguna vez te ha aparecido un bulto rojo, de color fresa que ha crecido rápido sangrando al más mínimo roce? Estas verrugas que sangran se llaman granuloma piogénico. Se trata de bultitos de color rojo vivo, con forma de «verruga» que puede medir desde unos milímetros a poco más de un centímetro. Es más habitual verlo en niños o adultos jóvenes, pero realmente puede aparecer en cualquier edad. No suele ser doloroso, pero sí incómodo por sangra fácilmente y esto lo hace un poco latoso.
Es característico que rodeando el bultito, observemos un «collarete» de piel que lo rodea en su base. En niños pueden salir en la cara y en adultos los solemos ver en las extremidades.

Ejemplo de granuloma piogénico.
Causas del Granuloma Piogénico
La causa de los granulomas piogénicos no está clara, pero en muchos casos su aparición se relaciona con algún pequeño roce o herida que por alguna razón, en lugar de curar normalmente, cura de esta forma que podemos llamar «peculiar», formándose el bulto rojo y sangrante en la zona de la herida. Pueden aparecer a consecuencia de pequeños traumatismos o estar causados por algunos fármacos.
Por otro lado, se sabe que aparecen más frecuentemente en personas que toman ciertos medicamentos como los retinoides, inhibidores de factores de crecimiento epidérmico, ciclosporina, inhibidores de la proteasa para el VIH y algunos quimioterápicos (capecitabina, etopósido, 5-fluorouracilo, docetaxel).
Diagnóstico y Tratamiento del Granuloma Piogénico
Un granuloma piogénico puede diagnosticarse a simple vista por un dermatólogo. Su aspecto es muy característico y si, además, sabemos que ha crecido de forma rápida en poco tiempo, el diagnóstico es bastante claro. No obstante en ocasiones puede tener que diferenciarse de otras lesiones en la piel como el hemangioma infantil, los nevus de Spitz o incluso el melanoma, además de las verrugas convencionales, por supuesto.
Habitualmente, se eliminan mediante una cirugía muy básica con antestesia local, que consiste en curetear (hacer una especie de raspado) la lesión y coagular la zona para que no sangre más. Suele quedar una costra negruzca un tiempo que va curándose en unas semanas, dejando la piel lisa. En casos de pequeño tamaño, podemos reducir su volumen considerablemente aplicando un pequeño montoncito de sal cubierto con una tirita sobre la lesión. Esta provoca que poco a poco se vaya secando.
¿Cómo prevenir las verrugas en los párpados?
La mejor manera de evitar la aparición de verrugas es mantener una buena higiene, especialmente en el área de los ojos. Evitar el contacto con el VPH y cuidar la piel mediante el uso de bloqueador solar puede reducir significativamente las posibilidades de que se desarrollen verrugas.
Recomendaciones Finales
Ante el primer síntoma o manifestación de verrugas en la piel, es muy importante solicitar cita con el dermatólogo para que realice un diagnóstico adecuado.