Desde los inicios de la pandemia de COVID-19, causada por el virus SARS-CoV-2, se ha observado que, además de los síntomas respiratorios, la enfermedad puede afectar a múltiples órganos y sistemas, incluida la piel. Inicialmente considerado un virus respiratorio capaz de producir neumonía grave en algunos pacientes, ahora se sabe que puede afectar a otros múltiples órganos y sistemas, incluyendo la piel.

Las manifestaciones cutáneas asociadas al COVID-19 son diversas y pueden aparecer durante la fase aguda de la enfermedad, persistir en el tiempo o incluso surgir después de que la infección haya terminado. Hasta una cuarta parte de las personas que contraen el virus sufren este tipo de efectos secundarios y los expertos recomiendan hablar con un dermatólogo en cuanto aparecen los primeros síntomas cutáneos, antes de que la situación empeore.
Tipos de Erupciones Cutáneas Asociadas al COVID-19
Se han identificado varios tipos de erupciones cutáneas relacionadas con el COVID-19, cada una con características y momentos de aparición distintos:
- Urticaria: En torno al 20-30% de las urticarias agudas están desencadenadas por procesos virales. El SARS-CoV-2 también puede producir este tipo de lesiones habonosas y pruriginosas que aparecen y desaparecen a lo largo del día. Aparece al inicio de la enfermedad o pocos días después.
- Exantema maculopapular: Al igual que otros virus como la rubéola o el sarampión, el SARS-CoV-2 también puede producir una erupción (exantema) en la piel. Son lesiones rosadas que suelen salir en el tronco y que, en ocasiones, pueden picar. En algunos casos puede tener lesiones purpúricas (que no desaparecen al presionar la piel). Otras veces pueden observarse lesiones con forma de diana, que recuerdan a un eritema multiforme. El exantema maculopapular en el contexto de COVID-19 suele aparecer entre la primera o segunda semana desde el inicio de los síntomas.
- Erupción variceliforme: Se llama así porque recuerda a las lesiones que se producen en la varicela. Puede aparecer en personas con pocos o ningún síntoma de COVID-19, al inicio de la enfermedad. Las lesiones suelen ser menos numerosas que en la varicela, además de distribuirse de forma más dispersa por el cuerpo.
- Livedo reticularis: Se trata de lesiones eritemato-violáceas que adoptan la forma de un entramado o red, dejando piel de aspecto normal en su interior. Ese entramado refleja la disposición de la red vascular subyacente y aparece en los pacientes de mayor edad. No es una manifestación habitual de enfermedades víricas, y se discute la causa de su aparición.
- Lesiones acrales tipo sabañones: Se empezaron a describir meses después de los primeros casos de COVID-19. Son lesiones de aparición tardía, sobre todo en gente joven y en muchos casos sin diagnóstico conocido de COVID-19. Cursan con picor e incluso dolor leve, sobre todo en las zonas acrales de los dedos. Pueden parecerse a sabañones o hacer dianas y vesículas como el eritema multiforme.
La relación causal entre las manifestaciones cutáneas y la enfermedad COVID-19 aún no ha sido establecida con seguridad. Por el momento, se sugiere que las más específicas son las lesiones de acroisquemia (un motivo de consulta muy poco frecuente antes de la pandemia) y la erupción vesicular.
COVID19 y PIEL: Produce algún tipo de manifestación cutánea? - Residente de Dermatología
Ejemplos Gráficos de Lesiones Cutáneas por COVID-19
A continuación, se presentan algunos ejemplos de lesiones cutáneas observadas en pacientes con infección por coronavirus:
| Descripción | Imagen |
|---|---|
| Exantema maculo-papular morbiliforme en paciente con enfermedad por COVID-19 en fase aguda. | ![]() |
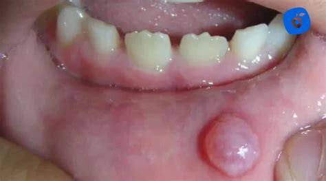
| Lesiones vesiculares en la boca de un paciente con infección por Covid-19. | ![]() |
| Sabañones en pacientes con infección por coronavirus. | ![]() |
Manifestaciones Cutáneas en Niños
En niños y adolescentes, el SARS-CoV-2 puede presentar una clínica larvada, con una gran mayoría asintomáticos. Sin embargo, se han reportado casos de lesiones dérmicas acrales como forma de presentación típica en pediatría. Estas lesiones se presentan como acroisquemia purpúrica en los pulpejos de los dedos de los pies principalmente y son raras las manifestaciones en otros órganos, así como fiebre u otra clínica.

Diagnóstico y Tratamiento
Ante la presencia de lesiones dermatológicas compatibles con el COVID-19, es importante mantener la calma y evaluar la presencia de otros síntomas de la infección. Las lesiones más frecuentes son inespecíficas y pueden producirse por muchos otros motivos. Es fundamental consultar con un médico para una historia clínica y exploración física completa, y determinar si es necesario realizar alguna prueba diagnóstica.
El tratamiento de las manifestaciones cutáneas asociadas al COVID-19 es principalmente sintomático. Se pueden utilizar corticoides tópicos, antihistamínicos en caso de prurito moderado, y antibióticos tópicos para evitar sobreinfecciones en las lesiones acroisquémicas. Además, se recomienda evitar todo aquello que pueda aumentar la vasoconstricción, como la aplicación de hielo o frío.
Efectos Secundarios de Medicamentos
Es importante considerar que algunas manifestaciones dermatológicas pueden ser debidas a efectos secundarios de ciertos fármacos utilizados en el tratamiento de la COVID-19. En especial, hay que tener en cuenta los posibles efectos adversos sobre la piel de la hidroxicloroquina, como la hiperpigmentación cutánea, el prurito, la xerosis cutánea, la alopecia, la urticaria, las erupciones morbiliformes o maculopapulares y las dermatitis exfoliativas. La azitromicina también puede producir exantemas cutáneos, prurito o síndrome de Stevens-Johnson. Entre los efectos adversos más frecuentes de la asociación de lopinavir y ritonavir se incluyen las erupciones maculopapulares, el prurito, el eccema y la dermatitis seborreica.
Variante Ómicron y Manifestaciones Cutáneas
Recientemente, se ha alertado sobre sintomatología característica de la variante Ómicron visible en la piel, como la pérdida de color en piel, uñas y labios debido a la disminución del oxígeno en sangre. En ciertos casos, incluso se adquiere una tonalidad grisácea o azulada, cuando no simplemente un alto grado de palidez. Suele asociarse a otros síntomas como erupciones cutáneas, sarpullido urticante, particularmente en manos y plantas de los pies, sabañones, problemas respiratorios como la disnea, así como a opresión en pecho y aturdimiento.
La Importancia de la Vacunación
La vacuna sigue siendo nuestro mejor aliado contra el COVID-19. No se descarta que la medicación administrada esté detrás de muchas de estas manifestaciones, que se pueden combatir con antihistamínicos y corticosteroides tópicos.
tags: #covid #eruption #cutanee #demangeaisons


