La aparición de lunares en el interior de la boca puede generar preocupación, pero es importante comprender que existen diversas causas y no todas implican un riesgo grave para la salud. Este artículo proporciona información detallada sobre los lunares en la boca, incluyendo sus causas, síntomas, posibles tratamientos y cuándo es crucial buscar atención médica.

Melanoma en la Boca: Un Tumor Poco Común
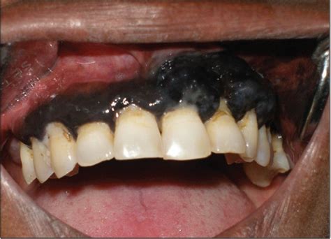
El melanoma es el tipo de cáncer de piel más peligroso, aunque puede comenzar en lugares distintos a la superficie de la piel. Comienza en las células que producen melanina (melanocitos) y controlan la pigmentación de la piel. El melanoma puede aparecer en la boca, los ojos y debajo de las uñas.
"El melanoma puede comenzar como una mancha oscura en las zonas profundas invisibles del interior del ojo o como una mancha oscura dentro de la boca o incluso en la ingle o la región perianal", explica el Dr. Paragh. Algunos melanomas poco frecuentes carecen de pigmento y tienen el aspecto de protuberancias o marcas planas de color rosa claro o marrón claro en la piel, y algunos tumores poco frecuentes pueden incluso parecer cicatrices. En casos poco frecuentes, los melanomas pueden incluso comenzar como una protuberancia profunda debajo de la piel.
Otros síntomas del melanoma pueden incluir:
- Una mancha o mancha en la piel, en lugar de un lunar elevado, con un borde y color desiguales.
- Una mancha oscura en un lugar extraño como el iris del ojo o dentro de la boca
- Una línea oscura o un hematoma en las palmas o plantas debajo de una uña de la mano o del pie
En Estados Unidos se diagnostican aproximadamente 200,000 melanomas al año, pero afortunadamente solo la mitad son melanomas invasivos con potencial de propagarse a otros órganos.
"Si bien los tumores de melanoma del tamaño de un grano de arroz pueden propagarse al hígado, el cerebro, los pulmones o los tejidos blandos de todo el cuerpo, es mucho menos probable que los melanomas provoquen una enfermedad que afecte a todo el cuerpo y ponga en peligro la vida si se detectan a tiempo. Por lo tanto, el diagnóstico temprano es fundamental.", aconseja el Dr. Paragh.
¿Por qué es importante obtener una segunda opinión?
Es la mejor manera de garantizar que su diagnóstico inicial sea preciso y que la estrategia de tratamiento recomendada sea adecuada para usted.
Si su médico sospecha que tiene melanoma, lo derivará a un dermatólogo para que evalúe la lesión y considere la posibilidad de realizar una biopsia. Si la biopsia demuestra que la lesión es un melanoma, según las características del tumor, también se pueden recomendar otras pruebas para ayudar a encontrar el tratamiento que funcione mejor contra su melanoma.

Lunares Comunes (Nevos)
Los lunares son un tipo común de crecimiento de la piel causado por grupos de melanocitos. La mayoría de las personas tienen entre 10 y 45 lunares que aparecen durante la infancia y la adolescencia y pueden cambiar de apariencia o desaparecer con el tiempo. Sin embargo, la mayoría son inofensivos, especialmente si son pequeños, y por lo general no se vuelven cancerosos.
Los lunares en los labios pueden tener un componente estético y cultural, pero lo más importante es su cuidado desde un punto de vista médico. Sí, se pueden quitar los lunares en los labios, pero siempre bajo supervisión para evitar complicaciones como cicatrices visibles.
Cáncer de boca y lengua: causas, síntomas, tratamiento
Tumores en la Boca: Causas y Tipos
Un tumor bucal puede tener su origen en cualquier tipo de tejido en y alrededor de la boca, incluyendo las partes blandas, huesos, músculos y nervios. Los tumores se forman con mayor frecuencia en:
- Los labios
- Los lados de la lengua
- El suelo de la boca
- Porción trasera del paladar (paladar blando)
Algunos tumores causan dolor o irritación.
Las causas de tumores en la boca pueden ser:
- Lesiones benignas (no cancerosas)
- Lesiones precancerosas (displasia)
- Lesiones malignas (cancerosas)
La mayoría de los tumores de la boca no son cancerosos. No obstante, dado que cualquier tumor inusual del interior o de alrededor de la boca puede ser canceroso, estas lesiones deben ser controladas sin demora por un médico u odontólogo.
Tipos de Tumores Benignos
- Tumores benignos producidos por una irritación: Son relativamente frecuentes y, en caso necesario, pueden extirparse con una intervención quirúrgica.
- Verrugas ordinarias (verrucae vulgaris): Pueden infectar la boca si, por ejemplo, se chupa o muerde una verruga de un dedo.
- Candidiasis oral: Infección por levaduras en las zonas húmedas de la piel y otras áreas húmedas (como la boca y la vagina).
- Rodete mandibular (torus): Tumoración ósea redondeada de crecimiento lento que se forma en el centro del paladar duro (rodete palatino) o en la mandíbula inferior a los lados de la lengua (rodete mandibular).
- Queratoacantomas: Tumores que se forman en los labios y otras zonas expuestas al sol, como la cara, los antebrazos y las manos.
- Quistes: Tumoraciones huecas llenas de líquido que causan dolor e inflamación en la mandíbula.
- Odontomas: Crecimientos anormales de las células dentales con aspecto de pequeñas piezas dentales adicionales y deformes o de grandes masas de material dental.
- Tumores de las glándulas salivales: La mayoría (75 a 80%) son benignos, de crecimiento lento, y no dolorosos.
- Fibroma oral: Crecimiento oral causado por la irritación crónica.



Alteraciones Bucales Precancerosas
Las zonas blancas, rojas o rosadas que no desaparecen y persisten durante más de 2 semanas y no se pueden incluir dentro de otro tipo de afecciones pueden ser lesiones premalignas. Las lesiones precancerosas pueden malignizarse si no se extirpan.
- Leucoplasia: Mancha blanca y plana que puede aparecer cuando se produce una irritación durante un tiempo prolongado en el revestimiento húmedo de la boca (mucosa bucal).
- Eritroplasia: Zona enrojecida y plana o erosionada que se produce por el adelgazamiento de la mucosa bucal.
Las áreas de color rojo mezclado con blanco contienen tanto leucoplasia como eritroplasia y también pueden acabar convirtiéndose en cáncer con el tiempo.
Cáncer de Boca
Las personas que consumen tabaco, alcohol, o ambos tienen un riesgo mucho mayor de cáncer oral. En otras personas, la localización más común del cáncer de boca incluye los lados de la lengua, el suelo de la boca, y la garganta. Los cánceres causados por la infección oral por el virus del papiloma humano (VPH), en especial el tipo 16, suelen localizarse en la parte posterior de la garganta, la base de la lengua y las amígdalas. La infección por VPH es actualmente una causa más frecuente de cáncer en estos lugares que el tabaco.
El cáncer oral puede tener diversas apariencias, pero por lo general se parece a las lesiones precancerosas. Por ejemplo, áreas de color blanco, rojo, o rojo y blanco mezclados que no se pueden eliminar con facilidad.
Evaluación de los Crecimientos Bucales
Es importante acudir al médico si se presenta una tumoración en la boca que no desaparece en una o dos semanas. Los signos de alarma indican un mayor riesgo de cáncer y las personas con signos de alarma (en particular si son fumadoras) no deben posponer la consulta.
Signos de alarma:
- Pérdida de peso
- Aparición de un bulto duro en el cuello
- Un dolor de garganta que no desaparece
- Dificultad para deglutir
Durante la evaluación, el médico preguntará acerca de los síntomas del paciente y su historial médico. La exploración física se centra en la boca y el cuello. Se palpan los lados del cuello en busca de bultos (ganglios linfáticos), que indican un posible cáncer o infección crónica.
Virus del Papiloma Humano (VPH) y Verrugas en la Boca
El virus del papiloma humano puede manifestarse en nuestra boca en forma de verrugas. Diferentes cepas del virus del papiloma humano causan verrugas, principalmente en la lengua. Los condilomas acuminados suelen presentar un bajo riesgo oncogénico, esto se traduce en un riesgo bajo o nulo de desarrollar cáncer en el futuro. Pero, bien es cierto que se pueden desarrollar co-infecciones con otros tipos de virus de papiloma humano con alto riesgo oncogénico.
Si bien las verrugas de la lengua generalmente son inofensivas, pueden ser una molestia. Una opción para eliminar una verruga es a través de la crioterapia. La electrocirugía es una técnica diferente a la crioterapia.
Opciones de Tratamiento para Verrugas
- Crioterapia: Se aplica a alta presión mediante una criosonda, creando un alto frío en la zona a tratar.
- Electrocirugía: Se utiliza una fuerte corriente eléctrica para cortar la verruga y eliminar células o tejidos anormales.
Tanto la crioterapia como la electrocirugía son tratamientos efectivos que funcionan para la eliminación de diferentes tipos de verrugas que se desarrollan en la lengua.
Síndrome de Peutz-Jeghers (SPJ)
El síndrome de Peutz-Jeghers (SPJ) es un trastorno poco frecuente en el cual se forman tumoraciones llamadas pólipos en los intestinos. Una persona con SPJ tiene un alto riesgo de padecer ciertos cánceres. El SPJ es causado por la mutación en el gen denominado STK11.
Síntomas del SPJ:
- Manchas de color marrón o azul grisáceo en los labios, las encías, el revestimiento interior de la boca y la piel
- Dedos de manos y pies en palillo de tambor
- Cólicos en la zona abdominal
- Pecas oscuras en y alrededor de los labios del niño
- Sangre en las heces que se puede observar a simple vista (algunas veces)
- Vómitos
Diagnóstico del SPJ:
- Un examen del colon llamado colonoscopia mostrará los pólipos en este último.
- Una radiografía con bario (tránsito del intestino delgado).
- Una endoscopia con cápsula, en la cual se traga una pequeña cámara que posteriormente toma muchas imágenes a medida que viaja a través del sistema digestivo.
Exámenes de laboratorio:
- Conteo sanguíneo completo (CSC) -- que puede revelar la presencia de anemia
- Pruebas genéticas
- Sangre oculta en heces, para buscar sangre en las heces
- Capacidad total de fijación de hierro sérico y hierro (CTFH) -- que puede indicar anemia ferropénica
Es posible que se requiera cirugía para extirpar los pólipos que causan problemas prolongados. Los suplementos del hierro ayudan a contrarrestar la anemia causada por la pérdida de sangre.
Las personas que padecen esta afección deben ser monitoreadas por un proveedor de atención médica y examinadas regularmente en busca de cambios cancerosos en los pólipos.
| Condición | Descripción | Riesgos |
|---|---|---|
| Melanoma oral | Cáncer de piel que se desarrolla en la boca. | Metástasis a otros órganos si no se detecta a tiempo. |
| Lunares comunes (Nevos) | Crecimientos de la piel causados por grupos de melanocitos. | Generalmente inofensivos, pero pueden requerir monitoreo. |
| Síndrome de Peutz-Jeghers (SPJ) | Formación de pólipos en los intestinos. | Alto riesgo de cánceres digestivos, pulmonares, mamarios, uterinos y ováricos. |
| Verrugas en la boca (VPH) | Crecimientos causados por el virus del papiloma humano. | Bajo riesgo oncogénico en condilomas acuminados, pero posible coinfección con tipos de alto riesgo. |
Prevención del Cáncer de Boca
Para prevenir el cáncer de boca, es fundamental:
- No consumir tabaco.
- Limitar el consumo de alcohol.
- Evitar la exposición excesiva al sol en los labios.
- Considerar recibir la vacuna contra el virus del papiloma humano.
Además, es importante mantener una buena higiene bucal y realizarse exámenes dentales regulares para detectar cualquier anomalía a tiempo.
La información proporcionada en este artículo es solo para fines informativos y no debe considerarse como un consejo médico. Si tiene alguna preocupación acerca de su salud bucal, consulte a un profesional de la salud calificado.