El bruxismo es un trastorno cada vez más común en nuestra sociedad moderna. Se define como el apretamiento o rechinamiento involuntario de los dientes, que generalmente ocurre durante el sueño, aunque también puede manifestarse durante el día.

¿Qué es el Bruxismo y por qué ocurre?
El bruxismo se define como rechinar y/o apretar los dientes, involuntaria e intensamente, debido a hipertrofia y/o contracción reiterada de los músculos masticatorios, especialmente los maseteros. De hecho, el BRX se considera el factor de riesgo más importante en la inestabilidad de la ATM.
El bruxismo es el movimiento involuntario de los músculos que sirven para masticar. Consiste en que se aprietan los dientes más de la cuenta y, por lo general, tiene lugar durante el sueño. Tiene varias causas: estrés, ansiedad o problemas de maloclusión, es decir, una incorrecta alineación de la mandíbula.
Hoy día es un problema que sufre un 40% de la población, tanto hombres como mujeres de cualquier edad, aunque es más habitual entre jóvenes.
En términos estadísticos, se estima que el bruxismo afecta a aproximadamente un 10-20% de la población, independientemente de la edad.
Causas del Bruxismo
- Estrés y Ansiedad: Las personas que experimentan altos niveles de estrés o ansiedad tienden a descargar esa tensión acumulada durante el sueño o incluso mientras están despiertas, lo que provoca el rechinamiento o apretamiento de los dientes.
- Maloclusión: Cuando los dientes no encajan correctamente al morder, el cuerpo intenta corregir esta desalineación mediante el rechinamiento o apretamiento de los dientes.
- Problemas de Sueño: Condiciones como la apnea del sueño pueden aumentar el riesgo de bruxismo.
- Factores Genéticos: Si varios miembros de una familia lo padecen, es posible que exista una predisposición hereditaria a desarrollar esta condición.
- Uso de Sustancias: El uso de ciertas sustancias como la cafeína, el alcohol y algunos medicamentos puede agravar el bruxismo.
Síntomas del Bruxismo
- Dolor de mandíbula
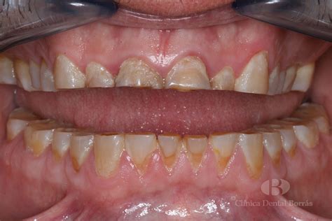
- Desgaste dental excesivo
- Dolor de cabeza
- Sensibilidad dental
- Dolor de oído
- Dificultad para abrir y cerrar la boca
- Cambios en la forma de los dientes
- Problemas del sueño
- Dolor en los músculos faciales
Tipos de Bruxismo
- Bruxismo céntrico
- Bruxismo excéntrico
- Bruxismo del sueño
- Bruxismo diurno
- Bruxismo secundario
Toxina botulínica | bruxismo | Tratamientos faciales | Medicina estética | Vitti Medical
¿Qué es el Botox y cómo funciona?
El Botox, nombre comercial de la toxina botulínica tipo A, es una neurotoxina producida por la bacteria Clostridium botulinum. Al bloquear la acetilcolina, el Botox produce una parálisis parcial y temporal del músculo tratado. Los efectos del Botox suelen durar entre 3 y 6 meses, después de los cuales la función muscular se recupera gradualmente.
La versatilidad del Botox en el campo médico y estético ha revolucionado muchos tratamientos, ofreciendo soluciones menos invasivas para una variedad de condiciones. Sin embargo, como con cualquier tratamiento médico, hay que considerar tanto los beneficios como los posibles riesgos y efectos secundarios antes de optar por el Botox, ya sea para el bruxismo o cualquier otra indicación.

Usos médicos y estéticos del Botox
| Categoría | Uso | Descripción |
|---|---|---|
| Usos Médicos | Tratamiento del bruxismo | El Botox se inyecta en los músculos maseteros para relajar el músculo y reducir el rechinamiento de dientes, aliviando así la tensión y el dolor asociado. |
| Usos Médicos | Migraña crónica | Aprobado para tratar migrañas severas, el Botox se inyecta en áreas específicas de la cabeza y el cuello para reducir la frecuencia y severidad de los episodios. |
| Usos Médicos | Espasticidad muscular | Se utiliza para relajar los músculos en condiciones como la parálisis cerebral o después de un accidente cerebrovascular, mejorando la movilidad y reduciendo el dolor. |
| Usos Médicos | Hiperhidrosis | El Botox bloquea las señales nerviosas responsables de la producción excesiva de sudor, siendo efectivo en axilas, manos y pies. |
| Usos Médicos | Vejiga hiperactiva | Ayuda a controlar la incontinencia urinaria al relajar los músculos de la vejiga, reduciendo las contracciones involuntarias. |
| Usos Médicos | Estrabismo y blefaroespasmo | El Botox corrige el desalineamiento ocular y alivia los espasmos involuntarios de los párpados, mejorando la visión y el confort ocular. |
| Usos Estéticos | Reducción de arrugas faciales | Se utiliza principalmente en la frente y alrededor de los ojos (patas de gallo) para suavizar las líneas de expresión y arrugas dinámicas. |
| Usos Estéticos | Elevación de cejas | Proporciona un efecto de "lifting" al relajar los músculos que bajan las cejas, creando un aspecto más abierto y juvenil en el rostro. |
| Usos Estéticos | Reducción de la sudoración facial | Ideal para personas con sudoración excesiva en el rostro, mejorando la apariencia de la piel y reduciendo el brillo excesivo. |
| Usos Estéticos | Afinamiento del rostro | Al inyectar Botox en los músculos maseteros, se reduce la prominencia de la mandíbula, creando un contorno facial más delgado y equilibrado. |
Toxina Botulínica para Bruxismo: Botox para Bruxismo
El tratamiento combinado con botox, aplicado específicamente en el músculo masetero, juega un papel crucial en la reducción efectiva del bruxismo. Esta técnica no solo ayuda a relajar los músculos mandibulares, sino que también minimiza el apretamiento involuntario de los dientes.
El uso de Botox para bruxismo se ha convertido en una alternativa efectiva para el tratamiento de este trastorno. El tratamiento del bruxismo con Botox se centra principalmente en los músculos maseteros, que son los responsables de cerrar la mandíbula con fuerza.
Cómo actúa el Botox en los músculos responsables del bruxismo
- El Botox para bruxismo funciona de manera precisa y localizada en los músculos implicados en este trastorno.
- El tratamiento del bruxismo con Botox se centra principalmente en los músculos maseteros, que son los responsables de cerrar la mandíbula con fuerza.
- En algunos casos, los músculos temporales también pueden ser tratados.
- El proceso de tratamiento con Botox para el bruxismo implica la inyección precisa de la toxina botulínica directamente en los músculos objetivo, como los maseteros y temporales.
- Una vez que el Botox se inyecta en los músculos, comienza a bloquear la liberación de acetilcolina, un neurotransmisor clave en la unión neuromuscular.
- Como consecuencia del bloqueo de las señales nerviosas, los músculos tratados se relajan y pierden parte de su capacidad para contraerse con fuerza excesiva.
- Con la relajación de los músculos maseteros y temporales, la tensión general en la zona de la mandíbula se reduce considerablemente.
- Generalmente, los pacientes comienzan a notar una mejoría en los síntomas a los pocos días de la inyección, alcanzando el efecto máximo en unas dos semanas.
Muchos pacientes reportan una mejora en sus síntomas en un corto período después del tratamiento.
Aplicación de Botox para el bruxismo
El tratamiento con Botox para bruxismo es un procedimiento especializado que requiere precisión y experiencia.
- El especialista realiza una evaluación completa del paciente.
- Se discute el historial médico y se descartan contraindicaciones.
- Se examina la severidad del bruxismo y se evalúan los músculos afectados.
- Se determina la dosis apropiada de Botox para bruxismo.
- Se identifican los puntos de inyección específicos.
- Se discuten los posibles efectos secundarios y las expectativas del tratamiento.
- Se limpia el área de inyección con un antiséptico.
- Se utiliza una aguja muy fina para inyectar el Botox en los músculos seleccionados.
- Las inyecciones son rápidas y generalmente causan solo una leve molestia.
- Se proporcionan instrucciones para el cuidado posterior.
La duración del efecto varía, pero típicamente oscila entre 3 y 6 meses, después de lo cual se puede repetir el tratamiento.
Botox para el bruxismo: Precio
El costo del Botox para bruxismo puede variar dependiendo de varios factores, como la experiencia del profesional, la cantidad de unidades de Botox necesarias y si se requiere tratar tanto los músculos maseteros como los temporales. Además, la reputación de la clínica y la calidad del producto utilizado también pueden afectar el costo.
El tratamiento con Botox para bruxismo suele requerir sesiones repetidas cada 3 a 6 meses para mantener sus efectos. En comparación con otros tratamientos, el Botox puede parecer inicialmente más costoso que las férulas dentales. Sin embargo, a largo plazo, el Botox puede resultar más económico que tratamientos continuos con fisioterapia o terapia conductual.
Botox para el bruxismo: Cuándo hace efecto
El tiempo de inicio de la acción del Botox para bruxismo puede variar de un paciente a otro, pero generalmente se empieza a notar un efecto en los primeros días después de la aplicación. Los efectos completos del Botox se manifiestan entre 7 y 14 días después del tratamiento.
En cuanto a la duración de los efectos, el Botox para bruxismo suele proporcionar alivio durante un período de 3 a 6 meses, aunque esto puede variar dependiendo de factores individuales como el metabolismo del paciente, la severidad del bruxismo, y la dosis administrada.
Comparación del Botox para bruxismo y otros tratamientos
| Tratamiento | Descripción | Ventajas | Desventajas |
|---|---|---|---|
| Férulas dentales | Dispositivos que se usan durante el sueño para proteger los dientes del desgaste. | No invasivo, protege los dientes, relativamente económico | No trata la causa subyacente, puede ser incómodo, requiere uso constante |
| Terapia conductual | Técnicas para reducir el estrés y cambiar hábitos que contribuyen al bruxismo. | Aborda causas psicológicas, sin efectos secundarios físicos, beneficios a largo plazo | Requiere tiempo y esfuerzo, resultados pueden variar, puede ser costoso a largo plazo |
| Fisioterapia | Ejercicios y masajes para relajar los músculos de la mandíbula. | No invasivo, mejora la función muscular, puede aliviar el dolor | Requiere sesiones regulares, resultados graduales, puede ser costoso a largo plazo |
| Medicamentos | Relajantes musculares o medicamentos para la ansiedad para reducir el bruxismo. | Efecto rápido, puede tratar causas subyacentes, útil para casos severos | Posibles efectos secundarios, riesgo de dependencia, no adecuado para uso a largo plazo |
| Ajuste oclusal | Modificación de la superficie de los dientes para mejorar la alineación de la mordida. | Solución permanente, puede mejorar la función masticatoria, no requiere mantenimiento constante | Procedimiento irreversible, puede ser costoso, no siempre efectivo para todos |
¿Cuántas unidades de Bótox son necesarias?
La duración del tratamiento varía según la cantidad de bótox aplicado, habitualmente se utilizan sobre 20 unidades en cada lado de la mandíbula, pudiendo oscilar entre las 18 y las 24 según las necesidades y la situación del paciente.
En general, variaron de 7.5 a 10 Unidades Speywood (US) por punto de inyección. Las dosis totales fueron de 30 a 95 US por paciente (media 57 +/- 18). Estimamos las unidades de TB-A utilizadas en cada paciente después de las mediciones ecográficas de cada músculo masetero en reposo y máxima contracción. Determinamos los puntos de inyección y las unidades de tratamiento en virtud de la potencia exhibida por cada uno de los 3 fascículos musculares. Solo 4 de las 25 pacientes del estudio requirieron una segunda inyección de TB-A, de 5 a 7.5 US, en alguno de los fascículos del masetero.
La cantidad de unidades de Botox necesarias para tratar el bruxismo puede variar dependiendo de varios factores, como la severidad del bruxismo, la técnica del médico, y las características individuales del paciente. Sin embargo, en general, se suelen administrar entre 20 y 50 unidades de Botox en total durante una sesión. El especialista distribuye estas unidades en los músculos masticadores.
Es importante que un profesional calificado evalúe el caso de cada paciente y determine la dosis adecuada para lograr los mejores resultados. La frecuencia con la que se debe aplicar Botox para evitar el bruxismo suele ser cada tres a seis meses.
Beneficios del Neuromodulador (Bótox) para Tratar el Bruxismo
El neuromodulador se puede aplicar a hombres y mujeres mayores de edad sin que existan contraindicaciones al respecto, a menos que exista algún tipo de alergia a la toxina botulínica o alguna complicación de salud importante.
- Es un proceso ambulatorio y poco invasivo por lo que no requiere ingreso hospitalario y puedes seguir con tu vida desde el primer día.
- Las inyecciones se ponen en unos 30 o 45 minutos por lo que no te supondrá una gran alteración en tu rutina.
- No requiere tiempo de recuperación ni tiene efectos secundarios notables.
- Podrás comer y hablar con normalidad después del tratamiento.
- Ya no serán necesarias las férulas de descarga por lo que vas a ganar en comodidad en tu vida diaria (aunque en algunos casos contados pueden servir de apoyo al tratamiento de neuromodulador).
- Tus dientes y muelas ya no seguirán sufriendo desgaste como consecuencia de apretar las mandíbulas.
- Desaparecerán las cefaleas y los efectos derivados del bruxismo.
- Notarás el rostro más relajado en general.
Además, el neuromodulador para tratar el bruxismo también puede solucionar un problemas estéticos.
El neuromodulador devuelve al rostro a sus líneas normales y hace que las mujeres que lo padecen recuperen la autoestima y la confianza en sí mismas.
La mejora en este sentido empieza a ser visible a partir de la tercera o cuarta semana.
Dicha mejora también afecta a los hombres, por supuesto, aunque suele ser menos visible.
Además, este tratamiento también ayuda a eliminar las arrugas que pueden aparecer a consecuencia de la presión de los dientes.
Los únicos efectos secundarios que podrían aparecer son un pequeño hematoma en la zona en la que se ha inyectado el neuromodulador o quizá un leve picor.
El neuromodulador te ayudará a tratar los síntomas y las consecuencias, en resumen, a mejorar de forma notable tu calidad de vida
Resultados del Tratamiento con Bótox
Es de destacar que 6 pacientes (24%) quedaron libres de bruxismo; el resto (76%) experimentó una mejoría significativa. Respecto a la pregunta sobre si recomendarían el tratamiento: 24 pacientes (96%) dijeron que lo recomendarían a pesar de haber tenido algún efecto adverso.
Las fotografías revelaron datos adicionales sobre la forma de la cara. En la que, como beneficio adicional, se logró la relajación de toda la zona orofacial.
Duración del Tratamiento con Bótox
Los efectos del neuromodulador empiezan a notarse a partir del segundo o tercer día después de su aplicación. Después, duran entre seis y nueve meses, dependiendo del nivel de bruxismo que tengas y de la cantidad que haya sido necesaria inyectarte.
Luego puedes volver a pasar por consulta para que el médico valore tu situación y determine la posibilidad de repetir el tratamiento.
Ten en cuenta que la toxina botulínica se absorbe de manera natural por tu organismo; de ahí que haya que hacer nuevas sesiones cada cierto tiempo.
En cualquier caso, lo normal es repetir estos tratamientos como mucho dos veces al año.
Costo del Tratamiento con Bótox
El precio del neuromodulador para el bruxismo oscila entre los 200 y 400 euros aunque dependerá de la cantidad que sea necesario inyectar. Cuando tengas que repetir el tratamiento el precio puede ser más bajo.